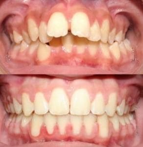
Răng hô phải làm sao cho đều đẹp nhanh chóng?
[box type=”info” align=”” class=”” width=””]Một hàm răng đều đẹp sẽ giúp chúng ta tự tin...
Niềng răng có làm ảnh hưởng đến xương hàm không?
[box type=”info” align=”” class=”” width=””]Niềng răng là kỹ thuật chỉnh nha hiệu quả nhất giúp...
Khắc phục răng thưa lấy lại nụ cười hoàn mỹ
[box type=”info” align=”” class=”” width=””]Bạn có hàm răng thưa và không tự tin khi trò...
Có nên nhổ răng vẩu để trồng răng mới?
Câu hỏi: có nên nhổ răng vẩu để trồng răng mới không? Chào bác sỹ Nha...
Có nên niềng răng không nhỉ?
[box type=”info” align=”” class=”” width=””]Hiện có những ý kiến trái chiều về việc đeo mắc...
Phải làm sao nếu tự nhiên răng lung lay?
Câu hỏi: Phải làm sao nếu tự nhiên răng lung lay? Chào bác sỹ Nha khoa quốc...
Niềng răng có thể kéo răng cửa dài lên cao được không?
Câu hỏi: niềng răng có thể kéo răng cửa dài lên cao được không? Chào bác sỹ...
Phải làm sao khi răng nanh mọc lệch vào trong?
Câu hỏi: Phải làm sao khi răng nanh mọc lệch vào trong? Chào bác sỹ Nha...
Răng nanh mọc ngầm trong xương hàm phải làm sao?
[box type=”info” align=”” class=”” width=””]Không hiếm trường hợp răng nanh mọc ngầm trong xương hàm....
Làm cách nào để hết hô trong thời gian ngắn nhất?
[box type=”info” align=”” class=”” width=””]Có nhiều dạng hô khác nhau, mỗi dạng có những cách...
Phải làm sao khi răng cấm mọc ngầm trong xương hàm?
Câu hỏi: Phải làm sao khi răng cấm mọc ngầm trong xương hàm? Chào bác sỹ...
Bị thiếu răng vĩnh viễn phải làm sao?
Câu hỏi: thiếu răng vĩnh viễn phải làm sao đây? Chào bác sỹ Nha Khoa...
