Tuổi nào nên nắn chỉnh răng
Hiện nay, đồng hành với sự tiến bộ liên tục của xã hội, mục tiêu...
Răng mọc siêu vẹo và cách khắc phục
[box type=”info” align=”” class=”” width=””]Chỉnh hình răng mọc siêu vẹo lệch lạc chủ yếu được...
Răng mọc lởm chởm phải làm sao?
[box type=”info” align=”” class=”” width=””]Răng mọc lởm chởm có nhiều kiểu và nhiều dạng khác...
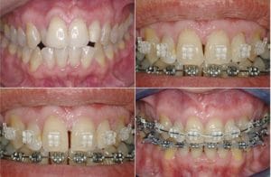
Răng mọc linh tinh không đều phải làm sao?
Câu hỏi: răng mọc linh tinh không đều phải làm sao? Thưa bác sỹ Á...
Niềng răng đau trong bao lâu?
Niềng răng có đau không? Niềng răng bao lâu mới hết đau? Niềng răng mất bao...
Niềng răng mất bao nhiêu lâu mới đều đẹp ?
[box type=”info” align=”” class=”” width=””]Thời gian niềng răng thực sự là vấn đề lớn đối...
Niềng răng có đắt không ?
♦Cùng tìm hiểu việc niềng răng có đắt không? Bạn muốn có nụ cười tỏa...
Niềng răng 1 hàm giá bao nhiêu tiền?
Câu hỏi: niềng răng 1 hàm giá bao nhiêu tiền? Chào bác sỹ. Bác sỹ cho...
Cách chọn bác sỹ niềng răng để đạt kết quả cao
Cách chọn bác sỹ niềng răng chỉnh nha tốt đảm bảo ~ Niềng răng (chỉnh...
Niềng răng mất thời gian bao nhiêu lâu ?
Tìm hiểu: niềng răng mất thời gian bao nhiêu lâu thì hoàn tất? Thắc mắc về quá...
Niềng răng hết bao nhiêu tiền Tại Nha khoa Quốc tế Á Châu?
Câu hỏi: niềng răng hết bao nhiêu tiền? chào Bác Sĩ Nha khoa quốc tế...
Đeo hàm duy trì cố định sau khi niềng răng để làm gì?
Đeo hàm duy trì cố định sau khi niềng răng để làm gì? Với những...
