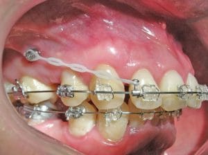
Đặc điểm của quy trình niềng răng mắc cài
[box type=”info” align=”” class=”” width=””]Niềng răng mắc cài là một trong những kỹ thuật nha...
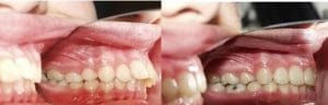
2 răng cửa bị vẩu phải làm sao cho đều?
[box type=”info” align=”” class=”” width=””]Hàm răng vẩu không chỉ không chỉ ảnh hưởng đến khả...
Trọn gói mức chi phí chữa răng vẩu?
Câu hỏi: chi phí chữa răng vẩu hết bao nhiêu tiền là đẹp? [box type=”info” align=”” class=””...
Địa chỉ nha khoa niềng răng uy tín tại Hà Nội
[box type=”info” align=”” class=”” width=””]Địa chỉ nha khoa niềng răng uy tín tại Hà Nội...
Tại sao có cảm giác bị ê răng khi niềng răng?
Câu hỏi: Tại sao có cảm giác bị ê răng khi niềng răng? [box type=”info” align=””...
Làm thế nào để răng bớt vẩu an toàn nhất?
Câu hỏi: làm thế nào để răng bớt vẩu? [box type=”info” align=”” class=”” width=””]Chào bác sĩ,...
Chỉ định nhổ răng khi niềng răng có tác dụng gì?
Câu hỏi: nhổ răng khi niềng răng có tác dụng gì? [box type=”info” align=”” class=””...
Cách xử lý trường hợp bị thiếu răng hiệu quả
[box type=”info” align=”” class=”” width=””]Bị thiếu răng có thể khiến cho răng trên cung hàm...
Nhổ răng vẩu để trồng răng mới – lợi ít hại nhiều
[box type=”info” align=”” class=”” width=””]Niềng răng hay phẫu thuật chỉnh hàm là cách điều trị...
Thời gian đeo hàm duy trì là bao lâu sau khi niềng răng?
Câu hỏi: Thời gian đeo hàm duy trì là bao lâu? Thưa bác sỹ nha khoa...
Cách nào khắc phục tình trạng răng thưa lý tưởng nhất?
[box type=”info” align=”” class=”” width=””]Với sự tiến bộ của kỹ thuật trong nha khoa, có...
Răng sau khi mài cùi có bị tiêu xương hay không?
Câu hỏi: Răng sau khi mài có bị tiêu xương không? Thưa bác sỹ Nha...
