Câu hỏi: mài răng sứ mất bao lâu thời gian?
Chào bác sĩ! Tôi có hai răng bị mẻ, nay tôi muốn bọc răng sứ để phục hình lại. Bác sĩ có thể tư vấn giúp tôi là mài răng sứ mất bao lâu thời gian và răng sứ loại nào tốt được không bác sĩ? Cảm ơn Bác sĩ (Đào Luyến- Khánh Hòa)
Trả lời:
Chào bạn Luyến!
Nha khoa Á Châu rất vui vì bạn đã tin tưởng và gửi những vấn đề lo lắng của mình đến với chúng tôi. Những vấn để bạn thắc mắc sẽ được BS Á Châu giải đáp dưới đây:
Bọc răng sứ là một phương pháp phổ biến, giúp giải quyết các tình trạng răng bị xuống cấp, bị bễ, bị mài mòn hoặc răng bị nhiễm màu nặng mà không thể khắc phục bằng phương pháp tẩy trắng,.v.v..Với phương pháp bọc răng sứ có thể bảo vệ răng theo cách thẩm mỹ cao mà không phải nhổ bỏ răng. Với câu hỏi mài răng sứ mất bao lâu thời gian của bạn, chúng tôi chưa thể trả lời chính xác vì chưa biết tình trạng răng của bạn như thế nào, bạn bị bể răng hàm hay nhóm răng cửa,.. Tuy nhiên, bạn có thể tham khảo các thông tin sau:

Quy trình mài răng bọc sứ tại Á Châu theo các bước sau
Các trường hợp răng mài cần được chữa tủy:
– Răng bị mẽ, bể nhiều tới tủy, răng bị nhiễm trùng: Để điều trị thì bệnh nhân phải đến nha khoa từ 2- 4 lần khám. Đối với các răng hàm thì thời gian điều trị sẽ lâu hơn so với các răng thuộc nhóm răng cửa. Như vậy thì việc mất bao lâu thời gian khi mài răng bọc sứ còn phụ thuộc vào tình trạng răng của bạn.
Quá trình làm răng sứ:
– Làm các mão đơn lẻ hay cầu răng mà bệnh nhân sẽ đến nha khoa từ 2 đến 5 lần khám, tùy theo số lương răng sứ cần làm mà thời gian sẽ khác nhau
– Lần hẹn thứ nhất: Bệnh nhân sẽ được bác sĩ mài răng và lấy dấu răng. Tùy theo số lượng răng cần bọc mà thời gian mài răng sẽ kéo dài từ 30 phút- 3 tiếng. Sau khi đã mài xong, bác sĩ sẽ lấy dấu răng của bạn để gửi về phòng Labo để các kỹ thuật viên dựa trên dấu răng đã gữi để chế tác và phục hình lên răng sứ. Ngay sau khi xuống ghế, bạn sẽ được gắn răng tạm, tác dụng của răng tạm là giảm ê buốt, hiệu quả về mặt thẩm mỹ trong giao tiếp và sinh hoạt hàng ngày của bệnh nhân.
– Lần hẹn thứ 2: Thử khung sườn. Tác dụng của việc thử sườn sẽ giúp đảm bộ độ chính xác về mặt kỹ thuật cho răng sứ sau này.
– Lần hẹn thứ 3: Trong lần hẹn này, răng sứ đã hoàn thành. Bệnh nhân sẽ được gắn tạm răng sứ để thử chức năng ăn nhai, và chỉnh sửa thẩm mỹ( về màu sắc, hình dáng,..) cho đến khi khách hàng cảm thấy hài lòng. Sau thời gian gắn tạm răng khoảng 1 tuần để bệnh nhân về ăn nhai thử. Bệnh nhân sẽ quay lại để gắn cố định, lúc này quy trình làm răng sứ đã hoàn tất.

Bệnh nhân Minh Hà 26 tuổi răng thưa kẽ bên, trước và sau bọc sứ Venus Đức

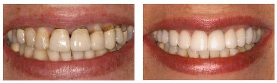
Bênh nhân Mỹ Dung 33 tuổi Hà Nội, thay răng sứ cũ bị viêm hở chân răng bằng răng sứ Cercon

Bệnh nhân Phạm Ngọc Ánh 27 tuổi. mẻ răng cửa do tai nạn, trước và sau bọc sứ Nacera
(Mỗi bệnh nhân sẽ cho ra kết quả khác nhau tùy thuộc vào cơ địa và tình trạng của mỗi người)
Bọc răng sứ loại nào tốt ?
Răng sứ có nhiều loại, mỗi loai sẽ có những ưu và nhược điểm riêng của nó và thời gian bọc của từng loại sẽ khác nhau. Tuy nhiên, khi nói về răng sứ loại nào tốt thì không ai có thể phủ nhận những ưu điểm vượt trội của răng sứ Cercon. Răng sứ Cercon với phần sườn được đúc toàn sứ, sản xuất theo công nghệ CAD/CAM trên máy tính dựa trên dây chuyền sản xuất của Mỹ, mang lại độ chính xác cao. Với những đặc điểm đó mà răng sứ Cercon có màu sắc tư nhiên, sống động, không gây dị ứng, không bị ánh đen dưới ánh đèn, có độ bền cao, chịu được lực tốt,..và là sự lựa chọn hàng đầu của mọi người hiện nay.
Bạn Luyến thân mến! Với các những gì chúng tôi vừa chia sẽ, chắc bạn đã hình dung được quá trình làm răng sứ và Mài răng sứ mất bao lâu thời gian. Bạn nên sắp xếp thời gian đến Nha Khoa Quốc tế Á Châu chúng tôi để Bác sĩ khám trực tiếp tình trạng của bạn và lên kế hoạch điều trị cụ thể. Thân chào bạn!
