Bác sĩ Á Châu ơi ! Cháu năm nay 16 tuổi khoảng năm trước cháu phát hiện có 2 răng mọc trên nướu hàm trên ở ngoài 1 răng bên phải một bên trái cách răng cửa 1 răng. Cho đến nay 2 răng đã mọc ra gần hết … 2 răng này cháu có cần nhổ không bác sĩ .. cháu đi khám các nha khoa tư thì họ nói khi nào mọc ra hết muốn nhỗ thì nhổ còn không thì thôi ..? bác sĩ cho cháu lời khuyên đi. Cháu cám ơn nhiều ạ. ( Kim Thu – Hà Nội)
Trả lời:
Chào cháu Thu,
Chúng tôi thực sự rất bất ngờ trước vấn đề của cháu. Bất ngờ trước nhận định của một số bác sỹ mà cháu đã tới thăm khám. Rằng, răng nanh muốn nhổ thì nhổ, không thì thôi.
Răng nanh hay còn gọi là răng khểnh ( răng mọc trên nướu), răng số 3. Răng này có một vai trò đặc biệt quan trọng trên cung hàm, ngoài chức năng đơn thuần là thẩm mỹ và cắn, xé thức ăn. Vì vậy, không thể nhận định muốn nhổ thì nhổ được…
Cháu hãy đọc những phân tích dưới đây để thấy tầm quan trọng của răng này nhé. Trong những trường hợp răng bị mọc lệch, gây mất thẩm mỹ như của cháu, hơn nữa, cháu lại còn đang rất nhỏ thì có thể được điều trị chỉnh nha để giúp đưa răng về vị trí đúng, đều đẹp trên cung hàm.

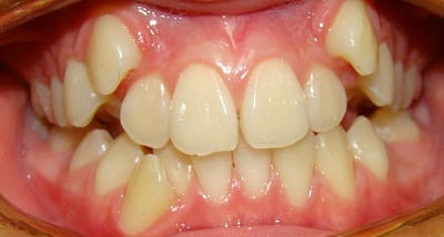
Răng mọc trên nướu cần được điều chỉnh bằng niềng răng
Không như những răng khác thường có cặp đôi, có thể thay thế cho nhau khi có ‘sự cố’ (ví dụ như nhóm răng số 4, số 5 – răng số 5 có thể thay thế cho răng số 4 khi răng này bị mất) các răng nanh là những răng ‘đơn lẻ’, chỉ có một răng trên mỗi phần tư hàm. Điều này phần nào thể hiện tính đặc biệt quan trọng của nó.
Trên nhiều động vật thuộc lớp có vú, răng nanh là răng không thể thiếu trong sự tồn tại của chúng vì các răng nanh được sử dụng như một công cụ để săn, bắt giữ con mồi, cắn xé thức ăn; là vũ khí để tấn công và tự vệ. Trên người, chức năng ‘sinh mạng’ đó của răng nanh không còn nhưng răng nanh vẫn được coi là một trong những răng ‘chiến lược’ nhất trong miệng.

Răng nanh là răng ổn định nhất trên cung răng, với chân răng dài và khoẻ nhất so với các răng khác, chúng được giữ chắc trong xương ổ răng và do đó ít khi bị mất sớm. Độ nhô của thân răng nanh theo chiều ngoài trong khiến cho răng này được bảo vệ tốt bằng cơ chế tự làm sạch.

Trong nhiều trường hợp, răng nanh thường được điều trị bảo tồn, nắn chỉnh về đúng vị trí mà không được nhổ bỏ.
Răng nanh có sức chịu đựng cao đối với các lực mạnh trong quá trình nhai và đóng vai trò như một cơ cấu giảm chấn. Qua đó răng nanh có khuynh hướng làm giảm bớt các nguy hại tiềm tàng, những tình trạng quá mức gây ra bởi các lực theo chiều ngang trong những vận động lệch tâm của hàm dưới đối với các răng sau.
Răng nanh nằm ở bốn ‘góc’ của hai cung răng, được coi là nền tảng của cung răng, giúp nâng đỡ các cơ mặt, khi răng nanh bị mất, mặt trở nên phẳng và khó hồi phục được như trước.
Răng nanh có tác dụng lớn trong việc hướng dẫn vận động tiếp xúc của hàm dưới sang bên và trước bên vì vậy được coi là ‘cọc hướng dẫn’ cho khớp cắn và là răng duy nhất hướng dẫn vận động sang bên trên những người có cơ chế ‘hướng dẫn răng nanh’
Chính vì vậy, trong chỉnh nha niềng răng, có thể nhổ răng số 4, hoặc răng số 5 nhưng tuyệt đối không bao giờ bác sỹ được nhổ răng số 3. Và trong nhiều trường hợp răng nanh mọc lệch, mọc ngầm, bác sỹ đều khuyên bệnh nhân và tìm cách điều trị nắn chỉnh hoặc bộc lộ những răng nanh mọc ngầm về đúng vị trí.
Thân chào cháu,
[box type=”info” align=”” class=”” width=””]NHA KHOA QUỐC TẾ Á CHÂU
Tư vấn & CSKH (24/7): 0987302621
Địa chỉ:137 An Trạch – Cát Linh – Đống Đa, Hà Nội.
Tel: 043 9940951 *Mobile: 0912958635
Email: [email protected][/box]
