Răng bị lung lay cả hàm là trường hợp nguy hiểm, bởi lúc này việc ăn nhai sẽ bị tác động nghiêm trọng, ảnh hưởng xấu đến sức khỏe và tâm lí người bệnh. Vậy, biện pháp nào có thể khắc phục tình trạng răng bị lung lay cả hàm? Có nên nhổ hay không?
Răng bị lung lay cả hàm phải làm sao?
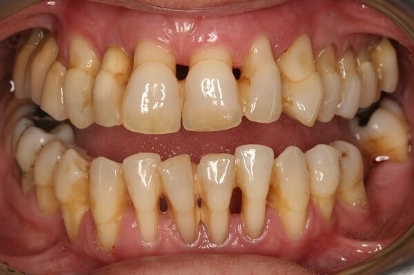
Răng lung lay cả hàm là vấn đề thật sự nghiêm trọng, nguyên nhân chủ yếu do các bệnh lý viêm nha chu, viêm tủy, viêm chóp răng gây nên. Khi răng miệng không được vệ sinh kỹ lưỡng, thường xuyên, các mảng bám trên răng trở thành môi trường thuận lợi cho vi khuẩn có hại hình thành và phát triển. Chúng sẽ làm mối liên kết giữa nướu và chân răng bị phá hủy, lúc này răng dễ lung lay và phát sinh nhiều ảnh hưởng cho người bệnh. Tình trạng bệnh lý càng nguy hiểm thì việc lung lay càng nặng hơn. Một số trường hợp, răng bị lung lay còn do những tác động, va đập từ bên ngoài hoặc do cấu tạo răng yếu.

Răng bị lung lay cả hàm phải làm sao?
Khi răng bị lung lay cả hàm, ảnh hưởng đầu tiên thấy rõ nhất là việc ăn uống của người bệnh gặp rất nhiều khó khăn, hầu như không thể nhai được các loại thực phẩm cứng, dai, những loại thức ăn kích thích vị giác như nóng, lạnh, cay,… Sức khỏe bệnh nhân vì thế sẽ bị giảm sút rõ rệt. Nếu tình trạng này không được can thiệp kịp thời, để lâu có thể phải nhổ bỏ tất cả các chiếc răng bị lung lay đó.
Khi răng bị lung lay cả hàm, tùy theo tình trạng của răng, nguyên nhân gây lung lay mà bác sĩ sẽ có những biện pháp điều trị và phục hồi thích hợp nhất:
♦Đối với trường hợp răng bị lung lay cả hàm do viêm nhiễm như viêm nha chu, viêm tủy, viêm chóp răng, các bác sĩ sẽ tiến hành điều trị viêm nhiễm trước bằng những biện pháp nha khoa như rửa sạch vết thương, cạo vôi răng, cho dùng kháng sinh,… Sau một thời gian khi các bệnh lý trên không còn, răng sẽ tự cứng chắc trở lại. Tuy nhiên, nếu vấn đề viêm, nhiễm nghiêm trọng, gây tụt nướu và có khả năng đang bị tiêu xương ổ răng, bác sĩ sẽ thăm khám và kiểm tra kỹ, sau đó tiến hành ghép xương hoặc vạt nướu tùy theo tình trạng răng lung lay.
♦ Đối với trường hợp răng bị lung lay cả hàm do chấn thương, va đập gây ra, bác sĩ sẽ sử dụng biện pháp nẹp cố định răng, sau một thời gian răng sẽ cứng chắc trở lại.
Tuy nhiên, dù có điều trị bằng biện pháp nào đi nữa thì tất cả các chiếc răng lung lay cũng không thể nào chắc chắn được như ban đầu. Vì thế, người bệnh cần có chế độ vệ sinh và chăm sóc răng miệng tốt, ăn uống hợp lí để bảo vệ răng toàn diện nhất. Thường xuyên đến thăm khám và kiểm tra sức khỏe định kỳ, cạo vôi răng 6 tháng/lần.
Có nên nhổ răng bị lung lay cả hàm?
Khi răng bị lung lay cả hàm, người bệnh nên đến ngay các cơ sở nha khoa có uy tín để thăm khám và chữa trị kịp thời. Bởi tại đây, các bác sĩ có chuyên môn, nghiệp vụ cao sẽ tư vấn và tiến hành hồi phục răng một cách tốt nhất.
Tuy nhiên, không phải lúc nào răng lung lay cũng có thể chữa trị được bằng các biện pháp nha khoa. Trong một số trường hợp, cả hàm răng bị lung lay mạnh, việc điều trị không mang kết quả gì, lúc này nhổ răng sẽ là lựa chọn thích hợp nhất. Bởi nếu răng không được nhổ sẽ gây ảnh hưởng đến xương ổ răng, tiêu xương hàm và dễ phát sinh nhiều biến chứng nguy hiểm.

Chỉ nhổ răng bị lung lay mạnh, không thể điều trị hay phục hồi được.
Hiện nay, nhổ răng đã dễ dàng và đơn giản hơn trước rất nhiều. Bởi việc đưa công nghệ nhổ răng siêu âm hiện đại vào quá trình nhổ đang được áp dụng rộng rãi. Khi nhổ, bác sĩ sẽ tiêm thuốc gây tê cục bộ nên không đau nhức, vết thương được hạn chế tối đa, không ảnh hưởng nhiều đến các mô mềm và xương ổ răng.
Tại Nha khoa quốc tế Á Châu, chúng tôi có đội ngũ bác sĩ giàu kinh nghiệm sẽ thăm khám, kiểm tra kỹ tình trạng răng bị lung lay cả hàm, từ đó mới quyết định nên chữa trị hay thực hiện nhổ răng. Nếu răng không thể điều trị được, việc nhổ sẽ được chỉ định và tiến hành ngay sau đó. Nhổ cả hàm bị lung lay không đơn giản như nhổ 1 hay 2 chiếc răng bình thường. Tuy nhiên, với công nghệ nhổ răng siêu âm cùng với các bác có tay nghề cao, tất cả nỗi lo lắng của bệnh nhân về vấn đề nhổ răng có an toàn không, có nguy hiểm hay đau không,… đều không còn.
Răng bị lung lay cả hàm sẽ được chỉ định nhổ nếu đã không còn điều trị hay phục hồi được. Vì thế, khi phát hiện răng có các vấn đề bất thường, bệnh nhân nên đến cơ sở nha khoa có uy tín thăm khám và chữa trị ngay, hoặc gọi vào hotline 0987302621 để được tư vấn cụ thể.
[box type=”info” align=”” class=”” width=””]NHA KHOA QUỐC TẾ Á CHÂU
Tư vấn & CSKH (24/7): 0987302621
Địa chỉ: 137 An Trạch – Cát Linh, Đống Đa, Hà Nội.
Tel: 0243 9940951 *Mobile: 0912958635
Email: [email protected][/box]
