Phân biệt sự khác nhau giữa làm cầu răng và cấy ghép implant
[box type=”info” align=”” class=”” width=””]Làm cầu răng và cấy ghép implant hiện được coi là...
Tìm hiểu địa chỉ làm cầu răng uy tín nhất tại Hà Nội
[box type=”info” align=”” class=”” width=””]Cầu răng là một trong những phương pháp phục hình cho...
Tại sao cần bọc sứ sau khi lấy tủy cho răng sâu?
[box type=”info” align=”” class=”” width=””]Tủy răng là phần nằm trong cùng của răng, được bảo...
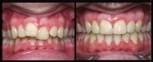
Bọc sứ cho răng cửa to và hô có hiệu quả hay không?
[box type=”info” align=”” class=”” width=””]Với sự phát triển của khoa học, các vấn đề răng...
Răng hàm bị sâu nặng phải làm sao?
[box type=”info” align=”” class=”” width=””]Sâu răng là một trong những bệnh răng miệng phổ biến...
Những lưu ý khi trẻ mọc răng hàm
[box type=”info” align=”” class=”” width=””]Mọc răng là dấu mốc quan trọng trong quá trình phát...
Giá tiền bọc răng sứ bao nhiêu là hợp lý?
[box type=”info” align=”” class=”” width=””]Sự ra đời của răng toàn sứ là một bước ngoặt...
Quy trình làm mão răng sứ tiêu chuẩn quốc tế
[box type=”info” align=”” class=”” width=””]Làm thế nào để phục hồi răng bị thương tổn và...
Những trường hợp nào răng cửa có thể mài cùi?
[box type=”info” align=”” class=”” width=””]Mài cùi răng có thể còn là khái niệm xa lạ...
Cách sửa hàm hô ít bằng bọc răng sứ có hiệu quả không?
[box type=”info” align=”” class=”” width=””]Bạn đã từng nghe đến cách sửa hàm hô nhẹ bằng...
Nguyên nhân của tình trạng răng sứ đổi màu sau khi phục hình
[box type=”info” align=”” class=”” width=””]Răng sứ luôn được đánh giá là một trong những phương...
Làm răng implant ở đâu tốt và cho hiệu quả bền lâu nhất?
[box type=”info” align=”” class=”” width=””]Cấy ghép Implant được coi là giải pháp trồng răng giả...
