SO SÁNH BỌC RĂNG SỨ VÀ MẶT DÁN SỨ VENEER TRONG THẨM MỸ RĂNG
[box type=”info” align=”” class=”” width=””]Hai phương pháp làm răng thẩm mỹ là bọc răng sứ...
Phương pháp cấy ghép răng cửa và những điều cần biết
[box type=”info” align=”” class=”” width=””]Cấy răng là một trong những giải pháp giúp trồng lại...
Rút ngắn thời gian niềng răng sử dụng Mini Vít
[box type=”info” align=”” class=”” width=””]Kỹ thuật niềng răng 3M UGSL kết hợp sử dụng Mini...
Giá niềng răng hô bao nhiêu tiền là hợp lý?
Câu hỏi: Giá niềng răng hô bao nhiêu tiền là chuẩn? [box type=”info” align=”” class=”” width=””]Chào...
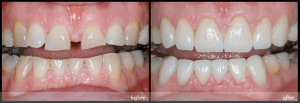
Răng cửa sứ bị mẻ phải làm sao để khắc phục?
[box type=”info” align=”” class=”” width=””]Dù không mong muốn nhưng vẫn có những trường hợp răng...
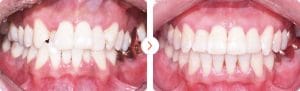
Bọc răng sứ ở đâu tốt nhất và đảm bảo bền chắc?
[box type=”info” align=”” class=”” width=””]Nếu bạn đang băn khoăn bọc răng sứ ở đâu tốt...
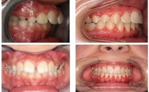
Các trường hợp răng xấu có thể niềng răng
[box type=”info” align=”” class=”” width=””]Răng xấu như thế nào thì niềng răng được, mức độ...
5 ưu điểm vượt trội của răng sứ Cercon Zirconia HT
Răng sứ Cercon Zirconia HT xứng đáng để bạn lựa chọn trong số rất nhiều...
Những dấu hiệu của việc mọc răng khôn là gì?
[box type=”info” align=”” class=”” width=””]Nếu bạn chưa mọc răng khôn và đang lo lắng về...
Răng bị vàng phải làm sao cho trắng hơn?
Vệ sinh răng miệng kém, hút thuốc lá nhiều hay di truyền là những nguyên...
Cách khắc phục miệng hôi do lắp răng giả
[box type=”info” align=”” class=”” width=””]Có một vấn đề rất dễ phát sinh từ những chiếc...
So sánh hai phương pháp trồng răng Implant và cầu răng
[box type=”info” align=”” class=”” width=””]Làm cầu răng và trồng răng Implant là hai cách chỉnh...
