[box type=”info” align=”” class=”” width=””]Kỹ thuật niềng răng 3M UGSL kết hợp sử dụng Mini Vít titan rút ngắn thời gian niềng răng, cho quy trình chỉnh nha đơn giản, nhẹ nhàng và hiệu quả cao. Thời gian niềng răng trung bình chỉ còn từ 6-8 tháng đối với những ca đơn giản và từ 12-15 tháng cho những ca hô vẩu, móm, sai lệch khớp cắn nghiêm trọng[/box]
Rút ngắn thời gian niềng răng khi sử dụng mini vít

Răng khấp khểnh, sai lệch khớp cắn có thể ảnh hưởng tiêu cực đến chức năng ăn nhai, sức khỏe răng miệng cũng như khiến cho nụ cười mất tự tin. Những răng không nằm đúng vị trí còn dễ dàng có nhiều mảng bám cũng như dễ vỡ mẻ hơn răng thẳng hàng. Việc răng không được sắp xếp đúng trật tự còn đem lại vết cắn xấu, tạo áp lực nhai gây đau và tổn thương về lâu dài cho mô mềm cũng như xương răng.
Mặc dù mối quan tâm đến chỉnh nha niềng răng ngày càng tăng cao tuy nhiên việc tìm đến phương pháp này còn gặp nhiều vướng mắc tâm lý lớn. Một trong số những trở ngại gây khó khăn hàng đầu là thời gian niềng răng thường đòi hỏi lâu dài. Đặc biệt đối với người trưởng thành từ 20 tuổi trở đi, việc chỉnh răng thông thường tốn rất nhiều thời gian, có khi lên đến vài ba năm trong các trường hợp sai lệch khớp cắn nghiêm trọng.

Rút ngắn thời gian niềng răng không cần nhổ răng
Thời gian niềng răng thông thường sẽ mất ít nhất từ 20-24 tháng. Tuy nhiên với công nghệ niềng răng mắc cài 3M UGSL của Đức kết hợp với hệ thống máy móc hỗ trợ chỉnh nha, nha khoa Á Châu cung cấp quy trình niềng răng tiên tiến có thể giảm thời gian điều trị ít nhất là 3 tháng, sắp xếp lại khớp cắn nhanh hơn.
Với phương pháp thông thường việc di chuyển và sắp xếp dần dần từ các răng tác động đến xương nên việc mất nhiều năm để hoàn tất quá trình điều trị chỉnh hình răng. Khác biệt khiến cho thời gian niềng răng của công nghệ 3M UGSL rút ngắn là đồng thời nắn chỉnh xương hàm và răng. Việc tăng tốc độ nắn chỉnh này liên quan đến những rãnh nhõ trong xương giữa các kẽ răng cho phép xương thay đổi hình dạng và răng di chuyển nhanh hơn.
Điều trị chỉnh nha thường để đảm bảo có đủ không gian cho các răng và tiến triển tốt sẽ thực hiện nhổ răng. Các răng bị nhổ hầu hết là răng nanh. Tuy nhiên không phải mọi trường hợp đều cần thiết phải nhổ bỏ răng khi sử dụng minivis để chỉnh nha. Việc sử dụng một vít mini implant hỗ trợ tăng lực kéo cho dây thun và dây cung môi mắc cài là một tùy chỉnh giúp cho kỹ thuật niềng răng rút ngắn thời gian cũng như cho kết quả khả quan hơn khi không thực hiện nhổ răng.
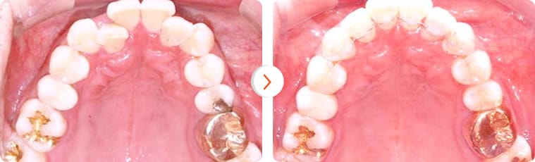
“Khách hàng nam 30 tuổi chỉnh hình răng sử dụng minivis sau 15 tháng”
Đẩy nhanh thời gian niềng răng với Mini vít
Mini vít tham gia vào quy trình niềng răng bằng cách điều chỉnh nhanh chóng nướu răng và xương răng. Răng sẽ được di chuyển một cách nhanh chóng. Việc chèn mini vít titan hoàn toàn vô hại cho xương và nướu răng trong quá trình chỉnh nha đồng thời kết nối chặt chẽ với bộ khí cụ.Điều trị chỉnh nha khi sử dụng kỹ thuật với Mini Vít có thể đẩy nhanh tiến độ từ 2 năm xuống còn 8 tháng một cách vô cùng nhanh chóng vì bộ khí cụ có một điểm tựa vững chắc tạo lực căng kéo.

Đối với những người đang tìm kiếm một phương pháp niềng răng mà không rõ thời gian niềng răng mất bao lâu hoặc lo sợ thời gian quá dài thì kỹ thuật chỉnh nha kết hợp công nghệ 3M UGSL hiện đại hàng đầu của Đức với mini vít titan hỗ trợ là lựa chọn tối ưu. Đây là phương pháp điều trị chỉnh hình khắc phục nhanh chóng, giảm bớt thời gian hơn nhiều so với chỉnh hình răng cố định thông thường. Bên cạnh đó, sự tham gia hỗ trợ của phần mềm chỉnh nha DOlphin 11,7 cũng là lợi thế tuyệt vời rút ngắn thời gian niềng răng khi đưa ra phác đồ điều trị chính xác cũng như dự kiến quỹ thời gian chỉnh nha chuẩn.
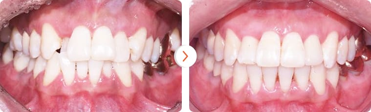
Trường hợp lệch khớp cắn nhẹ. Bệnh nhân nữ 25 tuổi – Thời gian điều trị: 8 tháng
Hiện nay, tại nha khoa Á Châu, công nghệ niềng răng 3M UGSL được đưa vào ứng dụng và đã thành công trên hàng ngàn case điều trị phức tạp. Trung tâm chuyên phục hình răng hô vẩu, móm và sai lệch khớp cắn an toàn, hiệu quả, hạn chế cắt rạch và nhổ răng tối đa đồng thời đảm bảo hiệu quả niềng răng cao. Với hệ thống máy móc hiện đại, công nghệ tân tiến cùng với tay nghề chuyên môn sâu của đội ngũ bác sỹ, thời gian niềng răng không còn là nỗi lo đối với những người đang có nhu cầu nắn chỉnh răng. Để được tư vấn kỹ lưỡng hơn về phương pháp niềng răng 3M UGSL kết hợp với Mini Vít Implant, quý khách hàng có thể vui lòng đăng ký tư vấn miễn phí hoặc liên hệ theo hotline:
[box type=”info” align=”” class=”” width=””]NHA KHOA QUỐC TẾ Á CHÂU
Tư vấn & CSKH (24/7): 0987302621
Địa chỉ:: 95E Lý Nam Đế, Hoàn Kiếm, Hà Nộii
Tel: 043 9940951 *Mobile: 0912958635
Email: [email protected][/box]


