Bị mất 2 răng hàm có làm cầu răng được không?
Câu hỏi: Bị mất 2 răng hàm có làm cầu răng được không? Thưa bác sỹ...
Hướng dẫn vệ sinh cầu răng sứ đảm bảo nhất?
[box type=”info” align=”” class=”” width=””]Cầu răng sứ vốn chưa phải là giải pháp phục hình...
Bọc Mão Sứ và tất cả những điều cần biết xoay quanh nó
[box type=”info” align=”” class=”” width=””]Bọc mão sứ thực chất là ngôn ngữ chuyên môn dành...
Tại sao cần bọc sứ sau khi lấy tủy cho răng sâu?
[box type=”info” align=”” class=”” width=””]Tủy răng là phần nằm trong cùng của răng, được bảo...
Giá tiền bọc răng sứ bao nhiêu là hợp lý?
[box type=”info” align=”” class=”” width=””]Sự ra đời của răng toàn sứ là một bước ngoặt...
Nha khoa quốc tế Á Châu có bảo hành răng Implant vĩnh viễn không?
Câu hỏi: răng Implant có bảo hành vĩnh viễn không? Chào bác sỹ nha khoa...
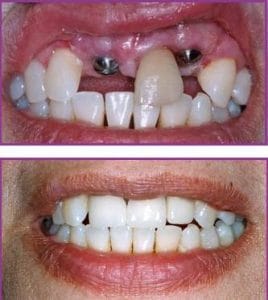
Cấy ghép implant cho 2 răng cửa có đắt không?
Câu hỏi: cấy ghép implant cho 2 răng cửa có đắt không? Chào bác sĩ nha...
Khi nào phải bọc răng sứ?
[box type=”info” align=”” class=”” width=””]Bọc răng sứ là giải pháp phục hình thẩm mỹ tối...
Phương pháp Inlay/Onlay trám răng có bền không?
Câu hỏi: Phương pháp Inlay/Onlay trám răng có bền không? Chào bác sỹ Nha Khoa quốc...
Răng cửa dài có nên mài bớt cho bằng không?
Câu hỏi: răng cửa dài phải làm sao cho ngắn lại? -Chào bác sỹ Nha...
Răng vĩnh viễn mọc kẹt phải làm sao?
Câu hỏi: Răng vĩnh viễn mọc kẹt phải làm sao? Chào bác sỹ nha khoa quốc...
Làm răng giả cố định cho 3 răng cửa giá bao nhiêu?
Câu hỏi: Làm răng giả cố định cho 3 răng cửa giá bao nhiêu? Chào bác...
