Răng thưa thì làm sao chữa khỏi hoàn toàn?

Đánh giá post

[box type=”info” align=”” class=”” width=””]Với kỹ thuật nha khoa hiện đại, mong muốn hàm răng thưa trở nên đều đẹp hơn không còn là một điều quá khó khăn. Tuy nhiên, răng thưa thì làm sao có thể chữa khỏi được vĩnh viễn và an toàn nhất vẫn cần sự cân nhắc có tiêu chí để đưa ra một lựa chọn sáng suốt.[/box]

1. Răng thưa thì làm sao, có mấy cách chữa?

Răng thưa là tình huống sai lệch mà các răng đứng trên cung hàm nhưng không sát khít với nhau mà có khe hở. Khe hở này lớn hay nhỏ phụ thuộc vào mức độ sai lệch răng nặng hay nhẹ. Vậy răng thưa thì làm sao có thể khắc phục được?

Hiện nay, có 3 kỹ thuật nha khoa có thể áp dụng được cho trường hợp răng thưa như sau:

+ Trám răng là kỹ thuật dùng miếng trám nhân tạo giống với màu răng để gắn lên thân răng nhằm mục đích gia tăng chiều ngang cho thân răng, giúp răng sát khít với nhau.

+ Bọc răng sứ là kỹ thuật dùng các thân răng sứ có kích cỡ lớn hơn răng thật để chụp lên trên thân răng thật, giúp khe răng thưa biến mất với hiệu quả thẩm mỹ cao.

+ Niềng răng là cách khắc phục khe thưa dựa trên cơ chế kéo các thân răng ở xa sát gần và đều đặn với nhau nhờ một bộ khí cụ gắn trên răng.

răng thưa thì làm sao
Răng thưa thì làm sao để chữa hiệu quả cần tùy thuộc vào mức độ thưa của răng

2. Răng thưa thì làm sao chữa hiệu quả nhất?

Tuy có thể áp dụng cả 3 cách trám răng, bọc sứ và niềng răng cho trường hợp răng thưa phải làm thế nào. Nhưng không phải cách cả 3 cách này đều đáp ứng được yêu cần chữa răng thưa được vĩnh viễn và an toàn với răng.

>> Trám răng tuy là kỹ thuật đơn giản và không xâm lấn răng nhưng lại không phải là cách cho hiệu quả vĩnh viễn. Bởi vì miếng trám răng thưa chỉ được gá lên cạnh răng, không thể hòa nhập với răng một cách hoàn toàn nên theo thời gian, khi ăn nhai, miếng trám cũng sẽ bị bung bật, vỡ mẻ. Khi đó, cần phải thực hiện hàn trám lại.

>> Bọc răng sứ tuy cho hiệu quả tốt hơn trám răng nhưng vẫn chưa phải là cách cho hiệu quả vĩnh viễn. Những chiếc thân răng sứ chỉ chụp lên thân răng thật. Cho nên vẫn xảy ra tình huống hở kẽ, bong lệch dẫn đến hỏng răng. Do đó, khả năng vẫn phải thay răng sứ và không thể duy trì suốt đời được. Chưa kể đến việc, nếu dùng răng sứ cho toàn hàm thưa thì bạn sẽ phải mài răng toàn hàm. Đây được coi là sự xâm lấn răng nghiêm trọng.

>> Chỉ có niềng răng mới thỏa mãn được 2 yêu cầu răng thưa thì làm sao chữa trị vĩnh viễn và an toàn nhất. Bởi vì niềng răng chỉ tác động kéo chỉnh răng, không trải qua mài thân răng, không làm răng yếu đi nên an toàn tuyệt đối cho răng. Sau niềng răng, nếu hàm răng đã sát khít thì kết quả đó sẽ được duy trì suốt đời mà không bị thưa trở lại.

3. Vậy nên niềng răng bằng công nghệ nào?

Niềng răng là kỹ thuật khó và phức tạp, vì thế nếu ứng dụng công nghệ hiện đại thì hiệu quả đạt được sẽ cao và nhanh hơn. Đó là lý do mà Nha khoa quốc tế Á Châu đưa công nghệ niềng răng 3M Unitek vào ứng dụng niềng chỉnh răng thưa cho bệnh nhân. Quá trình ứng dụng công nghệ cho thấy niềng răng thưa đạt độ sát khít và đều đặn tốt hơn, vòm hàm, khuôn răng có độ khum đẹp và khớp cắn chuẩn tỷ lệ nhất. Các răng di chuyển với tốc độ ổn định, không sai khác và ở vị trí thẩm mỹ mong muốn theo đúng dự liệu quả bác sỹ.

CÁC CA CHỈNH RĂNG THƯA THÀNH CÔNG TẠI NHA KHOA QUỐC TẾ Á CHÂU

răng thưa thì làm sao
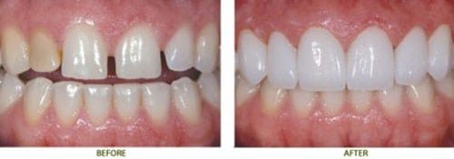
Bệnh nhân BRS 01233, Hoang Anh, Hà Tĩnh 26 tuổi răng cửa thưa, yêu cầu bọc răng sứ thẩm mỹ đem lại kết quả mỹ mãn sau phục hình
răng thưa thì làm sao
Bệnh nhân BRS 01231, Lưu Kim Sinh 33 tuổi Hà Nội,răng cửa thưa ố vàng, yêu cầu bọc răng sứ Cercon đem lại kết quả hoàn hảo sau phục hình
răng thưa thì làm sao
Bệnh nhân BRS 01289, Đinh Cương Hà Nội, răng cửa thưa sứt mẻ yêu cầu bọc răng sứ Venus đem lại kết quả tốt sau phục hình.
răng thưa thì làm sao
Bệnh nhân NRAC 0190, Lan Anh, Nghệ An, răng cửa thưa yêu cầu niềng răng, kết quả hoàn hảo sau khi niềng 1 năm 6 tháng.

Nếu cần được tư vấn tốt hơn về công nghệ này cũng như là các vấn đề liên quan đến việc răng thưa thì làm sao, bạn có thể liên hệ tới Trung tâm theo các thông tin dưới đây, bác sỹ sẽ tư vấn tận tình nhất cho bạn.

[box type=”info” align=”” class=”” width=””]NHA KHOA QUC T Á CHÂU

Tư vn & CSKH (24/7): 0987302621

Đa ch:: 95E Lý Nam Đế, Hoàn Kiếm, Hà Nội

Tel: 0243 9940951 *Mobile: 0912958635

Email: [email protected][/box]