Răng khôn là những chiếc răng lâu dài mọc cuối cùng ở vòm miệng nên thường không có đủ chỗ dành cho chúng. Vậy khi nhổ răng khôn có phải khâu không?
Răng khôn là gì?
– Răng khôn là tên gọi dùng để chỉ răng cối lớn thứ ba, chiếc răng này mọc muộn nhất trong toàn bộ hàm răng và chỉ xuất hiện, phát triển ở người trưởng thành. Theo thống kê thì độ tuổi thích hợp nhất để mọc răng khôn là từ 17 đến 25 tuổi. Tuy nhiên, cũng có những trường hợp răng khôn xuất hiện muộn hơn so với độ tuổi này.

Răng khôn là răng cối thứ ba ở vòm miệng
– Đây cũng là thời điểm mà xương hàm ít phát triển về kích thước, chất lượng xương lại cứng hơn, niêm mạc và mô mềm phủ bên trên dày chắc, cùng với một số yếu tố toàn thân khác góp phần làm răng khôn dễ mọc lệch gây chèn ép các răng bên cạnh hay mọc ngầm.
Tại sao phải nhổ răng khôn?
– Theo kết quả điều tra và thống kê của tổ chức chăm sóc răng miệng hoa kỳ thì ước tính có khoảng 85% răng khôn sẽ bị nhổ đi thay vì để cho nó tồn tại đến hết quãng đời của bạn về sau.

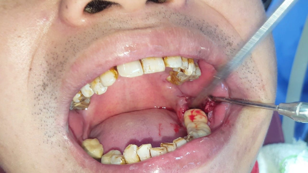
Nhổ răng khôn là do vị trí răng thường mọc lệch, không thuận lợi gây khó khăn cho khổ chủ
– Lý do răng khôn cần phải nhổ đi vì răng khôn thường mọc vào vị trí không thuận lợi, hoặc do xương hàm đã chật. Hơn thế nữa răng khôn nằm ở vị trí quá sâu bên trong hàm sẽ khó vệ sinh, là môi trường tiềm năng cho vi khuẩn sinh sôi và làm tăng nguy cơ sâu răng, viêm lợi…cũng như hàng tá những rắc rối khác đối với sức khỏe.
Nhổ răng khôn có phải khâu không?
– Thật ra khâu hay không khâu không quá quan trọng. Nếu vết thương sau khi nhổ răng là quá lớn hoặc chảy quá nhiều máu, bác sĩ thường khâu cho yên tâm thôi. Còn nếu thấy vết thương cũng nhỏ miệng, máu chảy cũng bình thường thì có thể để không như vậy.

Nhổ răng không có phải khâu không là vấn đề không quá quan trọng
– Nhiều ý kiến cho rằng, nếu không cần thiết thì không nên khâu vì như vậy vết thương sẽ lành nhanh hơn là khâu lại. Ngay cả khi khâu lại thì chủ yếu để giữ mép vết thương cố định và giữ cục máu đông bên trong ổ răng, chứ không phải khâu che kín vết thương hoàn toàn nên dù có khâu thì vẫn có lỗ thức ăn có thể lọt vào.

Trường hợp thức ăn lọt vào kẽ răng cần được vệ sinh sạch sẽ tại cơ sở nha khoa uy tín
– Trường hợp nếu thức ăn cứ liên tục lọt vào thì người bệnh nên chủ động quay lại bệnh viện nhờ bác sĩ bơm rửa vết thương cho thật sạch. Chỉ cần sau vài ngày là vết thương kín miệng lại ngay.
– Với câu hỏi nhổ răng khôn có phải khâu không thì đây là vấn đề không quá quan trọng. Vì tùy theo từng trường hợp vết thương sau khi nhổ lớn hay nhỏ thì mới thì mới khâu lại cho an tâm hoặc không. Ngoài ra, sau khi nhổ răng người bệnh cần có chế độ ăn uống, chăm sóc răng miệng đúng cách và hợp lý để nhanh lành bệnh và ngăn chặn những biến chứng về sau.
=====👇👇👇=====
⚜️ Nha Khoa Quốc Tế Á Châu 5 🌟
☎️ Liên hệ : 0987.302.621 – 0243 9940951
🏠 Địa chỉ : 137, An Trạch, Cát Linh, Hà Nội
💻 Website: https://nhakhoaquocteachau.vn/
