Trồng răng giả có đau không ?
Câu hỏi: trồng răng giả có đau không thưa bác sỹ? [box type=”info” align=”” class=””...
Bọc răng sứ là gì? Chuyên gia giải đáp chi tiết
[box type=”info” align=”” class=”” width=””]Bạn không biết bọc răng sứ là gì? Ưu điểm cũng...
Răng vẩu có di truyền không ?
Câu hỏi: răng vẩu có di truyền không thưa bác sỹ? [box type=”info” align=”” class=””...
Răng bị khấp khểnh lệch lạc phải làm sao
[box type=”info” align=”” class=”” width=””]Khi răng bị khấp khểnh lệch lạc mà muốn cho đều,...
Cách chữa răng thưa nhanh chóng nhất
[box type=”info” align=”” class=”” width=””]Không cần phải tốn 1 – 2 năm để một vài...
Biện pháp cấy răng hiệu quả nhất hiện nay
[box type=”info” align=”” class=”” width=””]Để cấy răng Implant bạn có thể thực hiện theo hai...
Niềng răng hô hết bao nhiêu tiền ?
[box type=”info” align=”” class=”” width=””]Giải đáp: niềng răng hô hết bao nhiêu tiền? Tình trạng...
Răng cửa to và vẩu phải điều trị bằng cách nào?
[box type=”info” align=”” class=”” width=””]Hàm răng dù đều đặn đến đâu mà có hai răng...
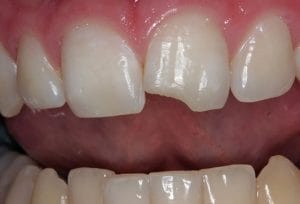
Cách khắc phục răng bị mẻ đơn giản và tiết kiệm
[box type=”info” align=”” class=”” width=””]Một hàm răng đẹp luôn tạo được ấn tượng đối với...
Niềng răng là gì? CÓ NGUY HIỂM KHÔNG
Tìm hiểu: niềng răng là gì và có Nguy Hiểm không? Niềng răng là gì?...
Mài răng có đau không nếu làm tại Á Châu?
[box type=”info” align=”” class=”” width=””]Chào bác sĩ Nha Khoa Quốc Tế Á Châu. Em có...
Trồng răng sứ ở đâu rẻ nhất Hà Nội?
[box type=”info” align=”” class=”” width=””]Bạn đang băn khoăn, trồng răng sứ ở đâu rẻ nhất...
