Thẩm mỹ răng cửa xấu bằng cách Nào Tốt Nhất
[box type=”info” align=”” class=”” width=””]Hàm răng thưa xấu không ảnh hưởng nhiều đến chức năng...
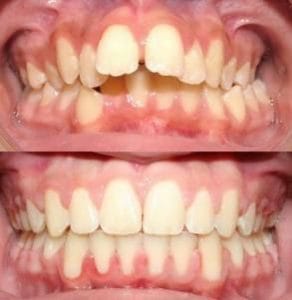
Thẩm mỹ răng thưa và NHỮNG ĐIỀU NÊN BIẾT
[box type=”info” align=”” class=”” width=””]Nha khoa quốc tế Á Châu xin tổng hợp lại các...
Địa chỉ trồng răng Implant tại Hà Nội uy tín và đảm bảo
[box type=”info” align=”” class=”” width=””]Sự khác biệt trong yêu cầu đối với trồng răng Implant...
5 Cách CHỮA SÂU RĂNG hiệu quả Mà BẠN NÊN BIẾT
Những cách chữa sâu răng vĩnh viễn sau đây được “truyền miệng” nhiều nhất vì...
Bọc răng sứ thẩm mỹ tại Nha khoa quốc tế Á Châu
[box type=”info” align=”” class=”” width=””]Bọc răng sứ thẩm mỹ là phương pháp mang lại hiệu...
Nên làm răng sứ loại nào ?
[box type=”info” align=”” class=”” width=””]Nên làm răng sứ loại nào? Đây là câu hỏi mà...
Niềng răng có hết hô không?
[box type=”info” align=”” class=”” width=””]Răng hô là một trong những trường hợp răng mọc lệch...
Bọc răng sứ có hết hô răng không nhỉ?
[box type=”info” align=”” class=”” width=””]Ngày nay, với sự ra đời và cải thiện mạnh mẽ...
Mài răng bọc sứ có đau không?
Câu hỏi: mài răng bọc sứ có đau không? [box type=”info” align=”” class=”” width=””]Chào bác sỹ Quốc...
Địa chỉ làm răng sứ uy tín ở Hà Nội
[box type=”info” align=”” class=”” width=””]Những cải tiến của nha khoa hiện đại đã có thể...
Nên bọc răng sứ ở đâu tại Hà Nội đảm bảo?
[box type=”info” align=”” class=”” width=””]Bạn đang ở Hà Nội hay các tỉnh lân cận muốn...
Răng xỉn màu phải làm sao cho trắng?
[box type=”info” align=”” class=”” width=””]Bị xỉn màu? Không tự tin khi giao tiếp? và đặt...
