Xỉa răng: thói quen cần phải bỏ
Xỉa răng sau khi ăn là thói quen phổ biến và tiện lợi của đa...
Trồng răng giả và những điều cần biết
Trồng răng giả những điều cần biết trước và sau khi trồng Trồng răng giả...
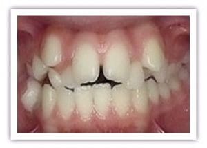
Chỉnh sửa răng cửa mọc lệch hiệu quả nhất bằng bọc sứ
Răng cửa mọc lệch khiến vẻ thẩm mỹ trên khuôn mặt và hàm răng kém...
Bao nhiêu lâu thì lấy cao răng 1 lần?
Lấy cao răng sẽ giúp loại bỏ các mảng bám ố vàng cứng chắc bám...
Cách lấy cao răng bằng dấm đơn giản, cực kì nhanh chóng
Trong thời đại mà chất lượng cuộc sống đã được quan tâm và không ngừng...
Có nên lấy cao răng liên tục không?
Có nên lấy cao răng liên tục không vẫn là thắc mắc được quan tâm khi...
Bọc răng sứ thẩm mỹ có hại gì không?
Tại Trung tâm nha khoa Quốc Tế Á Châu, chúng tôi nhận được rất nhiều...
Phương pháp làm răng đều đẹp
Phương pháp làm răng đều đẹp tự nhiên thời hiện đại ai cũng nên biết....
Các loại răng sứ và ưu nhược điểm
Tổng hợp các loại răng sứ thẩm mỹ thường gặp trên thị trường, phân tích...
Cấu tạo mô học của răng người
Cấu trúc của răng có nhiều lớp, từ ngoài vào trong: Cấu tạo mô học...
Làm lại răng cửa tốn bao nhiêu tiền?
Câu hỏi: làm lại răng cửa tốn bao nhiêu tiền? Chào bác sỹ! Em bị...
Tẩy trắng răng hết bao nhiêu tiền
[box type=”info” align=”” class=”” width=””]Giá cả vẫn là điều khách hàng đặc biệt quan tâm,...
