Phương pháp làm răng đều đẹp tự nhiên thời hiện đại ai cũng nên biết.
Khi gặp ai đó lần đầu tiên, sự ấn tượng tập trung trước là vào đôi mắt. Thứ đến là răng, và cuối cùng là tóc. Nhưng có một điều nghịch lý thế này, mọi người đều chỉ chi tiền và quan tâm về tóc của họ hơn so với răng. Vẻ đẹp của hàm răng, của nụ cười có nhiều ý nghĩ vô cùng quan trọng trong cuộc sống của mỗi người. Vì thế với các giải pháp nha khoa hiện đại ngày nay phương pháp làm răng đều đẹp đơn giản hơn bao giờ hết.

Cách Làm Răng Đều Đẹp Tự Nhiên?
Một hàm răng đều đẹp không chỉ giúp mọi người có được khả năng ăn nhai được tốt hơn mà còn giúp hạn chế mắc phải các bệnh lý về răng miệng. Vì vậy việc làm thế nào để sở hữu hàm răng đều là điều cần được quan tâm và thực hiện. Với sự phát triển của thế giới nói chung và ngành nha khoa nói riêng hiện nay có 4 phương pháp để giúp mọi người làm răng đều và đẹp tự nhiên phù hợp với từng khiếm khuyết thường gặp ở răng. Hãy xem những giải pháp đó ngay sau đây nhé!
1.Trám răng giúp răng đều hơn

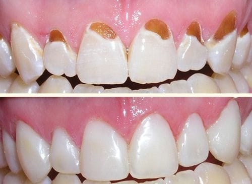
Trám răng là phương pháp làm răng đều đẹp đơn giản
Trám răng là một phương pháp quen thuộc giúp răng đều hơn với nhiều người khi răng bị bể, vỡ, sâu răng, chấn thương, mòn răng,… Các bác sĩ sẽ dùng vật liệu nhân tạo có màu giống màu răng thật để tạo hình trên thân răng. Sự tạo hình này để khắc phục được một số khiếm khuyết nêu trên của răng để làm răng đều hơn.
Trám răng là cách làm đều răng đơn giản, tiết kiệm thời gian, chi phí nhất trong những phương pháp làm răng đẹp. Tuy nhiên, phương pháp này có một nhược điểm nhỏ đó là sau khoảng 2 đến 3 năm miếng trám sẽ có hiện tượng đổi màu hoặc rất dễ bị bong ra trong khi ăn nhai.
Ngoài ra, trám răng còn áp dụng cho một số trường hợp răng thưa hở kẽ, răng sứt mẻ, răng mòn men hay răng sau điều trị bệnh lý. Phương pháp trám răng không xâm lấn mô răng, có ưu điểm tiết kiệm thời gian, chi phí. Phương pháp này có 1 nhược điểm nhỏ đó chính là sau khoảng 2-3 năm thì miếng trám có hiện tượng đổi màu hoặc rất dễ bị bong bật trong khi ăn nhai.
2. Bọc răng sứ cho răng trắng đẹp

Phương pháp bọc răng sứ dường như ngày càng quen thuộc hơn khi nhắc đến việc thẩm mỹ lại hàm răng cho răng trắng sáng hơn, đều đặn hơn. Một chụp răng sứ sẽ được lắp vào thân răng đã được bác sĩ tiến hành mài cùi. Với cách làm này, sẽ hoàn trả lại cho bạn hàm răng đều, đẹp tự nhiên, tuổi thọ kéo dài đến 10-15 năm, đặc biệt khi bạn lựa chọn răng toàn sứ (răng sứ không kim loại) có thể lên đến 15-20 năm .
Bọc răng sứ được áp dụng trong các trường hợp như: mòn men, vỡ mẻ, kích thước không đồng đều, hô/móm ở mức độ nhẹ, răng thưa, ố vàng,….
Điều mọi người lo sợ ở phương pháp này là bước mài răng có thể gây đau. Tuy nhiên, mọi người nên biết, nếu như trước khi mài răng các bác sĩ đã gây tê và giàu kinh nghiệm thực hiện thì việc đau đớn rất ít xảy ra.
Nếu có chỉ là cảm giác ê buốt do việc làm sạch rạch như cạo vôi gây ra mà thôi. Lưu ý đặc biệt ở việc chọn phương pháp bọc răng sứ để tìm lại hàm răng đều đẹp đó là việc tìm đến các bác sĩ có trình độ chuyên môn cao, giàu kinh nghiệm để trong quá trình thực hiện không gây xâm lấn răng thật, về lâu dài răng sẽ bị lung lay và không đảm bảo chức năng ăn nhai.
3. Mặt dán sứ Veneer cho răng trắng sáng đều đẹp

Cũng giống như bọc răng sứ, mặt dán sứ cũng là một phương pháp lấy lại vẻ đều đẹp cho răng. Việc dùng một miếng dán bằng sứ mô phỏng lại mặt trước của răng sao cho đồng dạng, đồng màu với những răng còn lại, sau đó dán lên mặt trước của răng là có thể đem lại nét thẩm mỹ vô cùng lớn. Phương pháp này kén chọn hơn, chỉ có thể thực hiện cho các trường hợp bị sai khác nhẹ như răng thưa hở kẽ, vỡ nhỏ, ố vàng, răng bạn bị nhiễm màu không tẩy trắng được.
Tương tự như như bọc răng sứ, làm mặt dán sứ cũng cần mài cùi răng nhưng thay vì mài xung quanh răng thì chỉ cần mài một lớp mỏng Veneer sứ ở mặt ngoài để dán lớp sứ mỏng lên.
Ngoài ra, mặt dán sứ còn áp dụng cho một số trường hợp khi răng bạn bị nhiễm màu không tẩy trắng được, răng thưa hở kẽ. Mặt dán sứ đảm bảo thẩm mỹ cho cả hàm răng và không ảnh hưởng tới chức năng ăn nhai. Tương tự như như chụp răng sứ thì làm mặt dán sứ bạn cũng cần mài cùi răng nhưng thay vì mài xung quanh răng thì với cách này bạn chỉ phải mài một lớp mỏng ở mặt ngoài.
4. Chỉnh nha – niềng răng – Thẩm mỹ răng đều đặn hơn

Đây là cách làm răng đều hiểu quả nhất đối với những trường hợp khiếm khuyết răng nặng như hô, móm, răng mọc lệch,… và có thể cho hiệu quả vĩnh viễn trọn đời chỉ sau một lần điều trị. Phương pháp này là nhờ vào dụng cụ có tên mắc cài hoặc khay niềng tạo lực kéo làm di chuyển răng, giúp cho các răng vĩnh viễn vào đúng vị trí đem lại khuôn hàm đẹp hơn. Niềng răng được xem là phương pháp an toàn, không xâm lấn răng thật, được nhiều người tin dùng hiện nay.
Như đã đề cập ở trên phương pháp bọc răng sứ, việc bạn đến đúng bác sĩ có tay nghề và nhiều năm kinh nghiệm sẽ mang lại hiệu quả cao hơn, đặc biệt về lâu dài sẽ giảm thiểu biến chứng xảy ra cho răng hay thậm chí là đến sức khỏe của bạn. Về điều này, Trung tâm nha khoa quốc tế Á Châu là địa chỉ bạn có thể tin tưởng, giao phó việc thẩm mỹ lại hàm răng đều đẹp cho chúng tôi. Bởi chúng tôi có:
– Đội ngũ bác sĩ chuyên môn sâu, giàu kinh nghiệm, trách nhiệm đến tận cùng và sự tận tâm của bác sĩ là tối đa.
– Chăm sóc trước-trong-sau điều trị là lẽ sống của bác sĩ Á Châu
– Trang thiết bị, công nghệ luôn cập nhật theo sự tiên tiến của nha khoa trên thế giới. Nguồn gốc sản phẩm được kiểm duyệt khắc khe và an toàn. Tất cả vì sức khỏe tuyệt đối của khách hàng.
“QUỐC TẾ Á CHÂU ..Là nơi chúng tôi quan điểm thẩm mỹ không đơn giản là thẩm mỹ, mà là sức khỏe thẩm mỹ.”
Trên đây là những điều mà Bác sĩ nha khoa quốc tế Á Châu muốn chia sẻ với mọi người về cách làm răng đều đẹp tự nhiên. Nếu còn bất kỳ băn khoăn gì về vấn đề răng miệng vui lòng liên hệ tới Trung tâm nha khoa Á Châu theo thông tin liên hệ dưới đây:
NHA KHOA QUỐC TẾ Á CHÂU
Tư vấn & CSKH (24/7): 0987302621
Địa chỉ: 137 An Trạch – Cát Linh – Đống Đa – Hà Nội
Tel: 043 9940951 *Mobile: 0912958635
Email: [email protected]
