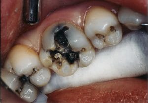
Phương pháp điều trị tủy viêm đảm bảo nhất
Viêm tủy là bệnh lý răng gây đau đớn cho bệnh nhân, cơn đau thường...
Tại sao cần phải khám răng định kỳ trong năm?
Trên cơ thể chúng ta, không có bất cứ bộ phận nào có thể duy...
Hậu quả của tật nghiến răng và cách khắc phục
Những người bị bệnh nghiến răng đôi khi không thể nhận thức hết được những...
Những vấn đề liên quan đến tình trạng “răng chuột”
“Răng chuột” có thể khiến cho thẩm mỹ của khuôn răng bị phá hỏng. Những...
2 sáng chế gây “chấn động” giới nha khoa Thế giới
Trong khi bạn đang còn cân nhắc và đắn đo ngay cả với việc đi...
Răng bị mòn mặt nhai phải làm sao ?
Mòn răng cơ học và mòn răng hóa học là hai loại tổn thương, trong...
Tại sao răng lại ố vàng?
Việc sử dụng café, nước ngọt, hút thuốc, các loại thực phẩm có phẩm màu...
Tại sao lại bị đau răng ?
Các nguyên nhân răng miệng thường gặp gây đau răng bao gồm sâu răng, áp...
Chỉnh răng mọc lệch lạc tại thành phố Hà Nội
Khi răng mọc lệch lạc sẽ làm cho chủ nhân của nó sở hữu nụ...
Địa chỉ chỉnh nha niềng răng uy tín tại Hà Nội
Răng mọc lệch, răng khểnh, răng vẩu không chỉ khiến nhiều người mất tự tin...
Bắt buộc phải nhổ răng trong những trường hợp nào?
Nhổ răng được hạn chế tối đa và chỉ áp dụng khi thật sự cần...
Giới thiệu chung về các loại mão răng sứ phổ biến
Mão răng sứ được ứng dụng rộng rãi trong phục hình răng hư hỏng. Từ...
