Điều trị răng nhiễm màu Tetracyline bằng những cách nào?
Răng xỉn màu, ố vàng có thể tẩy trắng để lấy lại màu men răng ...
95% khách hàng chọn nha khoa quốc tế Á Châu do “truyền miệng”
Theo thống kê khách hàng gần đây, hơn 95% khách hàng đến với Nha khoa...
Răng bị chấn thương va đập mạnh và cách xử lý
Răng cửa là răng thường bị chấn thương nhất do tai nạn giao thông, do...
Hàm răng không đều phải làm thế nào?
Một hàm răng đều sẽ giúp chúng ta tự tin hơn trong cuộc sống, ngoài...
Bọc răng sứ cho răng bị vâu bị hô
Trước đây, trong các trường hợp răng bị hô, vẩu thì chỉnh nha là phương...
Những mẹo “độc đáo” giúp phòng bệnh đau răng
Đau răng là hiện tượng khá phổ biến và bắt nguồn từ nhiều căn nguyên...
Vì sao không nên làm trắng răng bằng thực phẩm?
Bạn có thể làm trắng da nhờ thực phẩm nhưng sẽ rất khó tẩy trắng...
Sự thật miếng dán trắng răng có tốt không?
Phải thừa nhận rằng miếng dán trắng răng có thể mang đến cho người tẩy...
Giảm đau nhức răng sâu với dầu đinh hương có an toàn không?
Giảm đau nhức răng sâu là điều mà tất cả những người đang phải chịu đựng...
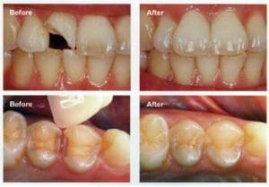
Hàn trám răng sứt mẻ với giải pháp tối ưu Laser Tech
Răng sứt mẻ khiến cho bạn hoàn toàn mất tự tin vào nụ cười của...
Tạm biệt răng ố vàng – xỉn đen – loang màu với giải pháp tẩy trắng răng chỉ trong 1h
Hàm răng ố vàng, xỉn đen và loang lổ màu có khiến bạn phải tự...
Khảo sát các vị trí “hiểm” dễ bị mòn men răng
Mòn men răng có thể ghé thăm bất cứ ai và có thể “càn quét”...
