Chào bác sĩ Á Châu! Mình gần đây phát hiện có nhiều răng bị mòn cổ chân răng nên hơi ê nhức. Mình cũng chưa đi khám ở nha khoa nào cả nhưng giờ muốn được hàn mòn cổ chân răng tại Trung tâm bằng công nghệ tân tiến. Mong bác sĩ hồi đáp giúp giá thành cho hàn trám này có đắt không ạ? Vô cùng cảm ơn bác sĩ! (Lưu Thị Luyến – Hà Nam)
Thân Chào bạn Luyến!
Rất cảm ơn bạn đã tin tưởng và gửi thắc mắc với chúng tôi. Về băn khoăn: “Hàn mòn cổ chân răng có đắt không?” của bạn, Nha khoa quốc tế Á Châu xin được giải đáp cụ thể như sau:

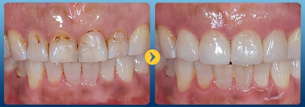
Hàn mòn cổ chân răng thẩm mỹ tại Nha khoa Á Châu
Hàn trám răng là một trong những kỹ thuật nha khoa có chi phí vừa phải. Phương pháp hàn mòn cổ chân răng được xem như là hàn răng thẩm mỹ tương tự như hàn cho răng mẻ, răng mòn thông thường.
Hàn mòn cổ chân răng có đắt không?
Tại Nha khoa quốc tế Á Châu, dịch vụ hàn răng thẩm mỹ có mức chi phí khoảng 400.000/ 1 răng. Đây là khung giá tính trên đơn răng. Nhưng khi trám trực tiếp, tùy vào từng trường hợp mức độ nặng nhẹ khác nhau, bác sỹ sẽ có những điều chỉnh giá cho phù hợp và tương xứng hơn. Tuy nhiên, nếu bạn bị mòn nhiều răng thì cũng cần chuẩn bị trước về kinh phí.
Nếu muốn được tiên lượng chính xác giá hàn mòn cổ chân răng thì quan trọng nhất nên qua trực tiếp nha khoa để được thăm khám cụ thể.
Về hiệu quả phục hình, bạn có thể yên tâm vì sẽ được trực tiếp chuyên gia chuyên sâu về nha khoa thẩm mỹ điều trị bằng kỹ thuật hiện đại Laser Tech.
Đây là công nghệ được chính các bác sỹ thuộc Bệnh viện Răng hàm mặt danh tiếng Forsyth – Hoa Kỳ sáng chế thành công và chỉ chuyển giao độc quyền cho Nha khoa Á Châu sau khi đã tiến hành nhiều kiểm định khắt khe về năng lực chuyên môn và trình độ tay nghề.
Công nghệ này cho phép trám răng với độ thẩm mỹ đẹp nhất, miếng trám đồng màu răng thật nên không tạo ra sự chênh lệch trên răng. Vết hàn khít và không có ranh giới ở phần cổ răng nên không dễ nhận ra đó là răng đã được hàn mòn cổ. Đặc biệt, miếng trám này có độ bám rất chắc, không dễ bị bung bật, sát khít với mô răng và cũng không dễ đỏi màu trong ăn nhai.
Nhờ vậy, hiệu quả hàn mòn cổ chân răng bằng công nghệ Laser Tech có chất lượng vô cùng đảm bảo. Nhưng chiếc răng bị mòn cổ sẽ được phục hồi hoàn hảo, với độ thẩm mỹ và chắc năng như ban đầu.

Công nghệ hiện chỉ được các chuyên gia Forsyth chuyển giao độc quyền cho Nha khoa Á Châu sau rất nhiều kiểm định khắt khe và toàn diện. Bởi vậy, bạn có thể yên tâm khi thực hiện điều trị thẩm mỹ răng tại Trung tâm.
Hàng ngàn khách hàng đã được hàn thẩm mỹ thành công không chỉ cho cổ chân răng mà còn hàn răng sâu, răng thưa, bể vỡ,… Bạn có thể xem trực tiếp TẠI ĐÂY.
Nếu muốn được tư vấn thêm về công nghệ hàn mòn cổ chân răng ưu việt này, bạn có thể liên hệ về Trung tâm theo các thông tin đi kèm dưới đây, bác sỹ sẽ luôn sẵn lòng tư ván tốt nhất cho bạn. Cảm ơn bạn đã quan tâm đến dịch vụ!
Bài viết hữu ích:
NHA KHOA QUỐC TẾ Á CHÂU
Tư vấn & CSKH (24/7): 0987302621
Địa chỉ: 95E Lý Nam Đế, Hoàn Kiếm, Hà Nội
Tel: 0243 9940951 *Mobile: 0912958635
Email: [email protected]
Website: https://www.nhakhoaquocteachau.vn/
