Niềng răng không mắc cài là giải pháp chỉnh nha hoàn hảo, duy trì trọn vẹn tính thẩm mỹ khi niềng, tiếp thêm tự tin cho người chỉnh nha. Tuy nhiên giá niềng răng không mắc cài bao nhiêu tiền thì thật khó có thể xác định chính xác, nếu bạn thiếu những thông tin cần thiết.
Niềng răng eCligner hay còn gọi là niềng răng không mắc cài, sử dụng hệ thống khay trong cho trước, tính toán khả năng dịch chuyển của cung răng về vị trí tốt hơn trên cung hàm. Trên thực tế, giá niềng răng không mắc cài hết bao nhiêu còn phụ thuộc vào mức độ lệch lạc của cung răng, thông thường sẽ được chia làm 3 mức 1,2,3 tương ứng với độ khó và đòi hỏi thời gian niềng lâu hơn.

Giá niềng răng không mắc cài bao nhiêu tiền phụ thuộc từng mức độ
1/ Giá niềng răng không mắc cài hết bao nhiêu ?
Nhờ ưu việt niềng răng không lộ, tự nhiên như thật mà giá niềng răng không mắc cài khá cao trên thị trường. Hơn nữa, khi sử dụng niềng răng khay trong người niềng sẽ được nhận kết quả chỉ trong khoảng 1 tuần lễ.
Ở Việt Nam hiện nay, phần lớn các trung tâm nha khoa không có khả năng sản xuất khay trong mà phải gửi dấu hàm sang nước ngoài. Vì vậy, giá niềng răng cũng có sự chênh lệch rất lớn.
Bảng giá niềng răng không mắc cài
| DỊCH VỤ | ĐƠN VỊ | CHI PHÍ (VNĐ) |
| Niềng Răng Khay Trong 3D Speed mức 1 | Trọn gói | 80.000.000 |
| Niềng Răng Khay Trong 3D Speed mức 2 | Trọn gói | 100.000.000 |
| Niềng Răng Khay Trong 3D Speed mức 3 | Trọn gói | 120.000.000 |
Ngoài ra, trong suốt quá trình chỉnh nha không mắc cài, bạn sẽ phải dùng tới khoảng trên dưới 20 khay eCligner ứng với mỗi giai đoạn cụ thể. Vì thế giá niềng răng không mắc cài bao nhiêu tiền bao nhiêu thì còn phụ thuộc vào số lượng khay niềng.
2. So với niềng răng mắc cài thì niềng răng không mắc cài có ưu thế gì ?

Niềng răng khay trong vs niềng răng mắc cài
Là đột phá mới của nền nha khoa thế giới, niềng răng thẩm mỹ không mắc cài mang đến nhiều giá trị lợi ích cho người bệnh trong suốt quá trình niềng răng:
➤ Tính thẩm mỹ: Đây là giá trị lớn nhất mà phương pháp này mang lại. Khay niềng răng trong suốt rất khó để nhận ra nên vẻ đẹp của hàm răng vẫn được hoàn thiện dần dần mà không sợ lộ. Vì vậy, giá niềng răng không mắc cài cao hơn hẳn so với các phương pháp khác.
➤ Tính tiện lợi: Vì là khay niềng dạng tháo lắp, nên rất tiện lợi trong ăn uống và vệ sinh trong toàn bộ các giai đoạn niềng răng của bạn.
➤ Tiết kiệm thời gian tái khám: Bạn sẽ được nha sỹ giao về các loại khay niềng với các kích thước khác nhau nên có thể tự thay khay mà không cần phải đến gặp trực tiếp nha sỹ.

Niềng răng khay trong có thể tháo lắp dễ dàng
Tuy vậy, phương pháp niềng răng trong suốt này vẫn còn tồn tại mặt hạn chế. Đó là khay niềng đúc liền khối nên không có sự linh hoạt để tạo lực kéo như mắc cài, vì thế, răng sẽ dịch chuyển chậm hơn, kéo dài thời gian niềng răng và chỉ áp dụng trong trường hợp răng lệch lạc, thưa, hô, móm… ở mức độ nhẹ.
Đối với những trường hợp răng mọc sai lệch nặng thì bạn nên cân nhắc lựa chọn niềng răng mắc cài để đạt hiệu quả tốt nhất.
>>> Xem thêm: Các loại niềng răng mắc cài: Cấu tạo và đặc điểm <<<
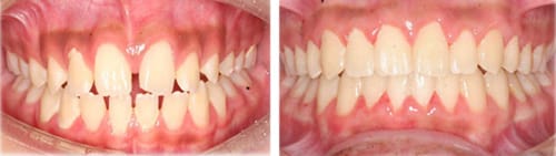
3. Kết quả khách hàng sau khi niềng răng không mắc cài
Tại nha khoa quốc tế Á Châu, rất nhiều trường hợp răng lệch lạc đã được khắc phục triệt để bằng niềng răng, trả lại nụ cười cho hơn 5,000 khách hàng mỗi năm. Dưới đây là một số hình ảnh trước và sau khi niềng răng mà bạn có thể tham khảo:


Hình ảnh bệnh nhân sau khi thực hiện niềng răng không mắc cài eCligner
Khi thực hiện tại Á CHâu, bạn sẽ được bác sỹ chỉnh nha chuyên sâu và có chuyên môn giỏi điều trị nên hoàn toàn có thể yên tâm là có thể đạt được hiệu quả như ý mà không cần quá băn khoăn giá niềng răng không mắc cài.
Thực tế đã có không ít bệnh nhân có mức độ răng khấp khểnh không nhẹ cũng đã được chỉnh nha thành công tại trung tâm. Bạn có thể xem trực tiếp hiệu quả điều trị cho các ca này TẠI ĐÂY
Nếu còn bất kỳ băn khoăn nào về giá niềng răng không mắc cài, bạn vui lòng gửi câu hỏi theo form đăng ký, hoặc gọi trưc tiếp vào số 0987302621 hoặc Đăng Ký vào FORM tư vấn ở bên dưới, bác sỹ chuyên khoa sẽ giải đáp tận tình cho bạn.
=====👇👇👇=====
⚜️ NHA KHOA QUỐC TẾ Á CHÂU 🌟
☎️ Liên hệ : 0987302621 – Phone: 0243 9940951
🏠 Địa chỉ : 137, An Trạch, Cát Linh, Hà Nội
💻 Website: https://nhakhoaquocteachau.vn/
