[box type=”info” align=”” class=”” width=””]Địa chỉ tẩy trắng răng ở đâu an toàn và uy tín tại Hà Nội có phải là những câu hỏi đang làm bạn hoang mang? Có một địa chỉ nha khoa mà bạn hoàn toàn có thể đặt niềm tin về dịch vụ tẩy trắng răng bằng công nghệ mới chuyển giao của Mỹ. Công nghệ tại trung tâm nha khoa này đang tạo ra những thành tựu vượt trội cho mô răng, men răng và nhiều lý do khác nữa biến nó thành địa chỉ tẩy trắng răng ở đâu tại Hà Nội uy tín nhất.[/box]
Bí mật thành công là công nghệ tẩy trắng răng Laser Whitening đem lại địa chỉ tẩy trắng răng ở đâu TỐT NHẤT
Laser Whitening là công nghệ tẩy trắng răng được ưa chuộng nhất tại Mỹ hiện nay, đã qua kiểm định của Hiệp hội nha khoa Hoa Kỳ ADA về hiệu quả tẩy trắng cũng như độ an toàn và bảo vệ răng. Nha khoa quốc tế Á Châu hiện là cơ sở chính tại Hà Nội sở hữu công nghệ Laser Whitening với sự chuyển giao trực tiếp của Bệnh viện Răng hàm mặt Newdelhy.

Thuốc tẩy trắng xuất xứ từ Mỹ đã trải qua hàng trăm năm sử dụng và được chứng minh là an toàn với cơ thể, không gây ra bất cứ biến chứng nào. Điều này đã được kiểm định chắc chắn bởi chính các khách hàng sau tẩy trắng Laser Whitening. Vì thế nếu bạn đang băn khoăn nên tẩy trắng răng ở đâu, hãy tìm đến địa chỉ tẩy trắng răng uy tín đang sở hữu công nghệ này để được trải nghiệm cảm giác tuyệt vời đúng nghĩa của hành trình làm đẹp răng, thẩm mỹ nụ cười hoàn hảo.
Lợi thế đến từ hệ thống máy móc hiện đại tạo nên địa chỉ tẩy trắng răng ở đâu UY TÍN
Công nghệ và cả máy móc của nha khoa đã được cải thiện rất nhiều. Tuy nhiên, về ăn bản, không máy móc và kỹ thuật công nghệ ở đâu tốt hơn phương Tây, đặc biệt là Mỹ và Đức – nơi được mệnh danh là “cái nôi” của nha khoa thế giới. Những thành tựu cao nhất, sáng chế ưu việt nhất, cải tiến kỹ thuật mạnh mẽ nhất và đào tạo chuẩn quốc tế về nha khoa đều xuất phát từ những nước này. Bởi thế, tin vào một địa chỉ nha khoa chuyển giao các thành tựu này là có cơ sở.

Tẩy trắng răng ở đâu tốt, tẩy trắng răng ở đâu uy tín? Hãy tìm đến nơi có cơ sở máy móc tốt nhất, tiên tiến nhất được chuyển giao trực tiếp từ Đức, Mỹ, Pháp,… Chính cơ sở vật chất máy móc này sẽ đảm bảo cho bạn được phục vụ, điều trị và chăm sóc tốt nhất.
Bác sỹ giỏi là yếu tố quyết định để lựa chọn
Địa chỉ tẩy trắng răng ở đâu an toàn là tẩy trắng ở nơi mà bạn được bác sỹ giỏi trực tiếp tẩy trắng răng. Dù công nghệ là quan trọng, nhưng người quyết định nồng độ thuốc tẩy trắng bao nhiêu, người xác thực tình trạng răng cần tẩy trắng và chỉ định thời gian với liệu trình tẩy trắng như thế nào lại chính là bác sỹ. Tẩy trắng răng Hà Nội hay bất cứ tỉnh thành nào cũng cần đến bác sỹ có tay nghề cao, kiến thức giỏi. Chính họ sẽ tư vấn, điều trị và biết phải làm gì tốt nhất cho bạn trong khi tẩy trắng răng.
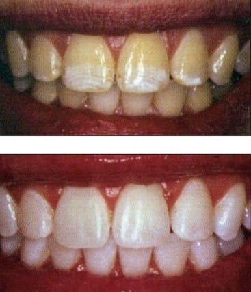
Những ca tẩy trắng răng thành công tại Nha khoa quốc tế Á Châu

Bệnh nhân Minh Trang 27 tuổi, răng men ố vàng độ 2 trước và sau khi tẩy trắng Lazer Whitening 2 H

Anh Trần Kiên 35 tuổi, trước và sau khi bọc sứ cercon kết hợp tẩy trắng răng trong 5 Day

Bệnh nhân Nam Cường 20 tuổi, răng vàng ố theo thời gian trước và sau khi Tẩy trắng kết hợp

Anh Thái Vinh 31 tuổi Hà Nội yêu cầu tẩy trắng răng tại nhà 5 Day
Nha khoa Á Châu – Địa chỉ tẩy trắng răng ở đâu an toàn và uy tín số 1 tại Hà Nội
Hiện Á Châu sở hữu công nghệ tẩy trắng răng Laser Whitening ưu việt như đã giới thiệu. 100% máy móc sử dụng trong các dịch vụ nha khoa tại Á Châu được nhập khẩu từ Mỹ hoặc Đức, Pháp. Cơ sở phòng khám của chúng tôi được đặt hàng sản xuất theo dây chuyền đảm bảo chất lượng, được làm mới thường xuyên.
Riêng máy móc được bảo dưỡng thường xuyên và dụng cụ luôn được vô trùng, bảo quản trong điều kiện tốt nhất. Khách hàng được tư vấn kỹ lưỡng từ nhân viên y tế, được thăm khám tỉ mỉ, bài bản từ bác sỹ, được sử dụng công nghệ tốt nhất và chăm sóc sau điều trị thường xuyên.
Quan trọng nhất, bác sỹ răng hàm mặt của Nha khoa Á Châu đã trải qua đào tạo kiến thức và kỹ năng bài bản, tốt nghiệp trường Đại học Bordeaux 2 – nơi đào tạo nha khoa hàng đầu tại Pháp, và đã qua tu nghiệp chuyên sâu về răng thẩm mỹ tại Hoa Kỳ. Với những tiền đề quan trọng này, Á Châu tự tin sẽ là địa chỉ tẩy trắng răng ở đâu tốt và uy tín tại Hà Nội dành cho bạn.
Nếu bạn có bất cứ băn khoăn nào về địa chỉ tẩy trắng răng ở đâu Đảm Bảo, đừng ngần ngại liên hệ với Nha khoa quốc tế Á Châu theo số điện thoại dưới đây. Các nha sỹ giàu kinh nghiệm sẽ tư vấn trực tiếp cho bạn mọi vấn đề có liên quan một cách chi tiết nhất.
[box type=”info” align=”” class=”” width=””]NHA KHOA QUỐC TẾ Á CHÂU
Tư vấn & CSKH (24/7): 0987302621
Địa chỉ:: 95E Lý Nam Đế, Hoàn Kiếm, Hà Nội.
Tel: 0243 9940951 *Mobile: 0912958635
Email: [email protected][/box]
