Chào bác sỹ! Bác sĩ có thể tư vấn giúp em cách làm hết mảng bám đen trên răng được không ạ? Em thực hiện về sinh răng miệng rất đúng cách và đầy đủ mỗi ngày nhưng vẫn còn rất nhiều mảng bám màu đen ở bên trong răng nhìn mất thẩm mỹ và khiến cho em cảm thấy lo lắng. Vậy lý do là gì và có cách nào loại bỏ chúng nhanh nhất không ạ? Mong bác sĩ tư vấn giúp! (Minh Hue – Hà Nội).
Chào bạn Minh Hue!
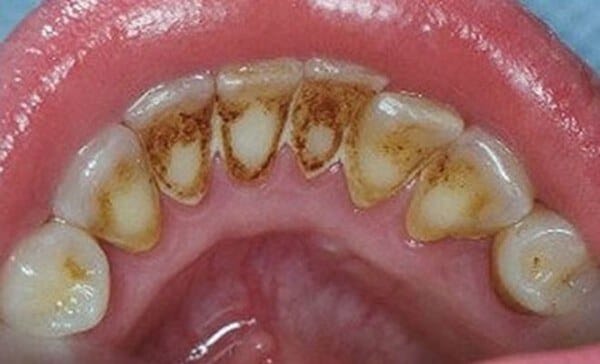
Mảng bám đen trên răng thực chất là những cặn bám do mảnh vụn thức ăn không được làm sạch, lâu ngày có thể bị vôi hóa và bám sâu trên thân răng, dưới nướu. Đôi khi mảng bám này cũng có thể do sự lắng đọng của huyết thanh, do đó có nhiều trường hợp mảng bám này chinh là cao răng (vôi răng).
Việc bạn đánh răng hàng ngày nhiều khi sẽ không thể tác động đến những kẽ răng và những vùng khó chải, chính vì thế đây là nguyên nhân hình thành mảng bám khiến răng bị đen bên trong hình thành trên răng bạn.

Cách làm hết mảng bám đen trên răng nào hiệu quả nhất
1. Cách làm hết mảng bám đen trên răng hiệu quả tại nhà
♦ Làm trắng răng bằng bột trà xanh
Bột trà xanh được biết đến không chỉ là nguyên liệu tự nhiên có chất chống oxi hóa, giúp tươi trẻ, chống viêm nhiễm mà còn là nguyên liệu trám trắng răng rất hiệu quả tại nhà.
Thực hiện: Trộn bột trà xanh với nước hoặc với kem đánh răng thành một hỗn hợp sền sệt. Tiến hành chà xát khắp các mặt răng trong vòng 3-5 phút và súc miệng lại với nước sạch. Thực hiện 2-3 lần/tuần bạn sẽ có hàm răng không chỉ sáng bóng tự nhiên mà còn chắc khỏe, không sâu răng.
♦ Làm hết mảng bám đen trên răng bằng baking soda
+ Cách 1: Trộn baking soda trộn với nước cốt chanh và tiến hành chải trên bề mặt răng. Tinh chất tẩy trắng của hỗ hợp này khá mạnh có thể làm răng sáng bóng sau vài lần thực hiện. Tuy nhiên, lưu ý chỉ nên thực hiện 2 lần/tuần bởi nó có chất bào mòn rất nhanh.
+ Cách 2: Sử dụng baking soda với dâu tây nghiền nát trộn với nhau thành một hỗn hợp. Thực hiện chải răng đối với hỗn hợp này như kem đánh răng thông thường. Chú ý chải nhẹ nhàng đều khắp các mặt răng và súc miệng lại với nước sách. Hoạt chất axit malic có trong dâu tây cùng với chất tẩy trắng trong baking soda có thể loại bỏ các mảng bám đen ngay tức thì, làm sáng răng một cách nhanh chóng.
Tuy nhiên, việc tẩy vết đen trên răng bạn lưu ý chỉ nên sử dụng công thức này để tẩy trắng răng 2 lần/tuần mà không nên lạm dụng quá nhiều để tránh mòn men răng.

Cách làm hết mảng bám đen trên răng bằng hỗn hợp baking soda và dâu tây
Trong khi đó, các phương pháp tẩy trắng răng sử dụng nguyên liệu tự nhiên về cơ bản có thể làm trắng răng nhưng chỉ có thể cải thiện được 1-2 độ sáng, đối với răng xỉn màu nặng thì không có tác dụng nhiều.
Những mảng bám đen trên răng không dễ lấy sạch, đó thường là cao răng và bám rất chắc trên răng. Chỉ có thể dùng lực bẩy hoặc các biện pháp chuyên khoa mới có thể làm tẩy sạch được.
Bạn phải hiểu rằng, ngay cả khi tẩy các mảng bám trên răng tại phòng nha, cũng không nên áp dụng các cách làm hết mảng bám đen trên răng rẻ tiền bằng dụng cụ cầm tay mà nên dùng thiết bị máy siêu âm để đảm bảo tẩy sạch triệt để và an toàn cho mô nướu.

Gửi thắc mắc của bạn để được bác sĩ tư vấn MIỄN PHÍ ngay hôm nay
2. Tẩy sạch mảng bám đen trên răng bằng công nghệ
♦ Lấy cao răng loại sạch mảng bám đen triệt để
Siêu âm lấy cao răng Canvitrol BP 8.0 tại nha khoa A Chau là một trong những giải pháp hữu ích nhất mà bạn không nên bỏ qua. Bởi đây là sản phẩm sáng tạo mới nhất hiện nay về lĩnh vực lấy cao răng, đã được kiểm định và chứng nhận của Liên đoàn nha khoa Quốc tế FDI về độ an toàn và hiệu quả.

Bs A Chau thuc hiện lấy cao răng bằng công nghệ Siêu âm Cavitron BP 8.0 cho khách hàng
♦ Làm trắng răng với công nghệ Laser Whitening
Công nghệ Laser Whitening hiện đại đang được ưa chuộng tại Pháp và Mỹ, được FDI công nhận đạt tiêu chuẩn Y khoa Quốc tế nay đã về Việt Nam. Đây chính là phương pháp tẩy trắng răng tốt nhất hiện nay, mang đến hiệu quả ngay tức thì và rất an toàn với sức khỏe.
+ Công nghệ sử dụng Laser để hoạt hóa thuốc tẩy trắng, đưa thuốc đi sâu vào trong men răng để làm trắng sâu và triệt để. Hàm răng sẽ được cải thiện tới 8 độ trên thang đo độ trắng và sáng bóng hoàn toàn sau 30 phút.
+ Thuốc tẩy trắng răng sử dụng luôn được kiểm soát ở ngưỡng an toàn, không gây ra bất kỳ kích ứng nào phù hợp với hầu hết các trường hợp cần tẩy trắng răng, men răng vẫn giữ được độ chắc khỏe và hoàn toàn không có hiện tượng ê buốt xảy ra.
+ Hiệu quả tẩy trắng có thể kéo dài tới tận 5 năm hoặc lâu hơn nữa nếu như bạn chăm sóc răng miệng tốt.

KH sử dụng dịch vụ làm trắng răng Laser Whitening tại Nha khoa A Chau. Lưu ý hiệu quả khác nhau trong từng trường hợp cụ thể
Bạn hoàn toàn yên tâm để lấy mảng bám đen trên răng và tẩy màu trên răng một cách an toàn, nhanh chóng khi thực hiện tại nha khoa quoc te A Chau. Đã có hàng nghìn khách hàng đến với chúng tôi rất hài lòng với kết quả nhận được.
⇒ Xem chi tiết về CN tẩy trắng Laser Whiterning: TẠI ĐÂY
Nếu bạn vẫn thắc mắc về mảng bám khiến răng bị đen hoặc muốn tìm hiểu về công nghệ lấy cao răng tại nha khoa quoc te A Chau, bạn hãy gọi ngay với cho tôi với hotline 0987302621 hoặc điền câu hỏi vào form đăng kí ngay bên dưới để nhận những tư vấn trực tiếp hoàn toàn miễn phí của bác sĩ nha khoa.
NHA KHOA QUỐC TẾ Á CHÂU
Tư vấn & CSKH (24/7): 0987302621
Địa chỉ:: 95E Lý Nam Đế, Hoàn Kiếm, Hà Nội
Tel: 0243 9940951 *Mobile: 0912958635
Email: [email protected]
