Bọc răng sứ không đảm bảo chất lượng sẽ thế nào?

5/5 - (1 bình chọn)

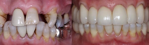
Bọc răng sứ không chất lượng thì bạn sẽ phải đối mặt với nhiều nguy cơ lâu dài khó lường trước được.

 
Bọc răng sứ đảm bảo chất lượng được kiểm chứng tại Nha Khoa Á Châu

Mấy ngày gần đây, hình ảnh hàm răng hư hỏng gần như hoàn toàn của cô gái sau 2 năm bọc răng sứ đang gây xôn xao cộng đồng mạng. Và chính từ trường hợp đáng tiếc này đã gióng lên hồi chuông báo động cho những bạn muốn thẩm mỹ răng nói riêng cũng như các loại hình thẩm mỹ cơ thể khác.

Do đó, hãy cùng tìm hiểu xem nếu bạn lỡ lắp răng sứ không đảm bảo chất lượng thì tương lai trước mắt sẽ phải đối mặt với những nguy cơ gì để có biện pháp đề phòng tốt hơn nhé.

Hở cổ chân răng

Hở cổ chân răng có khá nhiều nguyên nhân gây ra. Trong quá trình lắp răng sứ, nếu bác sĩ thực hiện không khéo, không vừa khít thì cổ chân răng rất dễ bị hở. Ngoài ra, nếu quy trình lắp răng sứ thực hiện không chuẩn thì sau một thời gian, phần lợi bị tụt và cổ chân răng cũng dễ bị lộ ra ngoài.

Hở cổ chân răng không chỉ gây xấu răng về mặt thẩm mỹ mà còn tăng nguy cơ gây hại hơn cho răng. Bởi khi cổ chân răng bị hở và không được phát hiện kịp thời thì thức ăn rất dễ bám vào gây nhiễm trùng, hôi miệng và hư hại răng gốc.

 
Bọc răng sứ đảm bảo chất lượng được kiểm chứng Hiệp Hội FDA Hoa Kỳ

Viêm lợi

Trường hợp viêm lợi rất dễ nhận biết, bởi lúc này lợi bị sưng tấy đỏ và kèm cảm giác đau rát, ê buốt rất khó chịu. Thậm chí có nhiều trường hợp phát sinh mủ màu trắng đục. Có khá nhiều nguyên nhân gây viêm lợi khi bọc răng sứ như răng lắp không vừa khít tạo kẽ hở cho vi khuẩn xâm nhập hay trong quá trình bọc răng sứ, nha sĩ thực hiện không khéo làm tổn thương lợi. Nha sĩ sử dụng răng sứ cùng các vật liệu nha khoa kém chất lượng khác cũng dễ khiến lợi bị tổn thương.

 Bọc răng sứ đảm bảo chất lượng không được phép viêm lợi sau phục hình

Bọc răng sứ đảm bảo chất lượng gây Viêm tủy

Viêm tủy có thể xem là hậu quả kinh hoàng nhất đối với những ca bọc răng sứ lỗi, bởi nó không chỉ mang lại đau đớn cho người bọc răng mà còn có nguy cơ cao hỏng cả hàm răng. Có rất nhiều nguyên nhân gây viêm tủy như do bác sĩ thực hiện quá cẩu thả, mài răng quá mức cho phép gây tổn thương nặng đến răng gốc. Ngoài ra, việc bọc răng không đúng cách hoặc sử dụng chất gắn răng kém chất lượng cũng có thể dẫn đến nỗi đau viêm tủy nguy hiểm.

Một khi đã bị viêm tủy thì bạn sẽ có cảm giác đau buốt triền miên, đặc biệt là những khi ăn uống nóng lạnh thì độ ê nhức càng tăng lên. Ngoài ra, viêm tủy lâu ngày cũng gây hậu quả nghiêm trọng cho răng gốc và có thể làm hỏng răng gốc nếu không được điều trị kịp thời.

 Răng sứ bị vỡ, bị đen

Răng sứ bị vỡ, bị đen là trường hợp rất thường gặp phải. Nguyên nhân lớn khiến răng sứ bị vỡ, bị đen là do phòng khám lắp răng kém chất lượng hoặc răng lắp vào không tương khít với răng thật. Tuy đây không phải là hậu quả nguy hiểm lắm nhưng nó gây tốn kém và mất thời gian cho người làm răng. Ngoài ra, nếu những vị trí bị vỡ khó phát hiện thì nó còn tạo điều kiện cho vi khuẩn tấn công vào bên trong và gây hại.

Bọc răng sứ đảm bảo chất lượng Hỏng cả răng gốc

Biến chứng nặng nề nhất đối với những ca bọc răng sứ hỏng là làm hư hại cả răng gốc, thậm chí một phần hàm răng. Và nguyên nhân dẫn đến hậu quả nặng nề này có thể là do quy trình lắp răng không đúng chuẩn tạo kẽ hở nên vi khuẩn tấn công vào sâu bên trong hoặc có khi là do viêm tủy, viêm nướu lâu ngày cũng có khả năng làm hỏng cả răng gốc.

Cần làm gì để tránh các nguy cơ kể trên khi bọc răng sứ thẩm mỹ?

Có rất nhiều nguy cơ rình rập, nếu quy trình bọc răng sứ không được thực hiện đúng cách cũng như các vật liệu nha khoa không đảm bảo chất lượng thì sẽ gây tổn hại lớn cho răng. Do đó, trước khi quyết định bọc răng sứ thì bạn nên tìm hiểu thật kỹ và lựa chọn phòng khám nha khoa uy tín, đội ngũ bác sĩ có trình độ cao, đặc biệt phải tìm hiểu thông tin giá cả phù hợp chứ đừng ham rẻ mà “rước họa vào thân”.

Đặc biệt, sau khi đã bọc răng sứ rồi thì bạn càng nên lưu ý chăm sóc răng thật tốt, đồng thời cũng theo dõi các biểu hiện kể trên để đi khám và được hỗ trợ khắc phục kịp thời. Bởi tình trạng xấu càng để lâu thì nguy cơ hỏng răng gốc hoặc hỏng một phần hàm răng sẽ càng tăng lên đáng kể.

[box type=”info” align=”” class=”” width=””]NHA KHOA QUC T Á CHÂU

Tư vn & CSKH (24/7): 0987302621

Đa ch: 137 An Trạch – Cát Linh, Đống Đa, Hà Nội.

Tel: 0243 9940951 *Mobile: 0912958635

Email: [email protected][/box]