[box type=”info” align=”” class=”” width=””]Lựa chọn bọc răng toàn sứ là một quyết định đúng đắn khi bạn muốn cải thiện hàm răng của mình cả về chức năng ăn nhai lẫn diện mạo thẩm mỹ. Nếu bạn vẫn đang băn khoăn bọc răng sứ tốn hết bao nhiêu tiền là chính xác hiện nay thì hãy tham khảo một số thông tin liên quan đến bảng giá dưới đây.[/box]
Sự ra đời của răng toàn sứ là một bước ngoặt lớn cho sự phát triển của dịch vụ nha khoa thẩm mỹ. Bọc răng sứ tốn hết bao nhiêu tiền khi răng toàn sứ bỏ xa mọi thế hệ răng sứ đã cũ với những nhược được về độ bền, khả năng chịu lực cũng như vẻ đẹp hoàn hảo tự nhiên như răng thật không bị biến dạng sau thời gian.
Răng sứ là giải pháp dành cho các trường hợp răng thưa xấu, răng mẻ-sứt-gãy hoặc bị sâu, trường hợp bị mất răng cần trồng lại, bọc lại. Hiện nay, có rất nhiều loại răng sứ thường được sử dụng trong bọc răng sứ như răng sứ kim loại, răng sứ kim loại quý và nổi bật nhất là loại răng toàn sứ. Điểm khác biệt lớn nhất của các loại răng sứ này nằm ở khung sườn bên trong. Với răng toàn sứ, khung sườn này cũng được làm từ chất liệu sứ cao cấp.

Dòng răng toàn sứ có màu sắc trong, tự nhiên, không đen viền nướu khi phục hình và hoàn toàn lành tính với cơ thể. Đây là sản phẩm thay thế hoàn hảo và khắc phục được tất cả những nhược điểm của răng sứ kim loại trước kia, giúp phục hồi răng rất thẩm mỹ đảm bảo ăn nhai và trông tự nhiên giống như răng thật.
Bọc răng sứ tốn hết bao nhiêu tiền tại nha khoa quốc tế Á Châu? Những dòng răng toàn sứ hiện nay phải kể đến Nacera và Cercon đủ khả năng đáp ứng mọi yêu cầu về mặt thẩm mỹ cũng như chức năng khi phục hình răng. Nacera là một trong những sáng chế đỉnh cao của Tập đoàn nha khoa hàng đầu thế giới DOCERAM là lựa chọn hàng đầu cho những ai có nhu cầu phục hình và thẩm mỹ cho răng cửa.
Cercon là răng sứ do hãng Dentply sản xuất sử dụng khung sườn Zirconia là một hợp chất có độ chịu lực trung bình từ 460Mpa trở lên tức là gấp nhiều lần so với răng thường. Hai dòng răng sứ này được đánh giá là dẫn đầu hiện nay trong vật liệu sứ nha khoa và có mức chi phí cũng cao hơn so với các loại răng sứ thường.
Bọc răng sứ tốn hết bao nhiêu tiền là rẻ nhất?
Nếu các giá loại răng sứ kim loại chỉ khoảng 1.000.000đ – 1.800.000đ/răng thì mức chi phí cho loại răng toàn sứ từ 2.800.000đ – 5.500.000đ do những ưu điểm vượt trội của dòng răng toàn sứ so với răng sứ không kim loại.
Bọc răng sứ tốn hết bao nhiêu tiền sẽ phụ thuộc chủ yếu vào chính sách của từng nha khoa. Bạn có thể tham khảo bảng giá bọc răng sứ chi tiết của nha khoa quốc tế Á Châu cho dịch vụ bọc răng sứ dưới đây.
| DỊCH VỤ | ĐƠN VỊ | CHI PHÍ (VNĐ) |
| Gắn lại mão răng | 1 răng | 150,000 |
| Đúc cùi giả kim loại Mỹ | 1 răng | 300.000 |
| Đúc cùi giả toàn sứ Mỹ | 1 răng | 3.000.000-3.200.000 |
| Mão toàn diện kim loại Cr- Co | 1 răng | 1,100,000 |
| Răng sứ Titan Mỹ | 1 răng | 1,600,000 |
| Răng Sứ White – Peaks Germany | 1 răng | 3.200.000 |
| Răng toàn sứ Emax Zirconia | 1 răng | 4.500,000 |
| Răng sứ Cercon Germany | 1 răng | 3,700,000 |
| Mão sứ Cercon HT – Emax Press | 1 răng | 4.300,000 |
| Veneer sứ Emax, Cercon HT | 1 răng | 4.700.000-5.000.000 |
| Răng Toàn Sứ Venus Germany | 1 răng | 2.900.000 |
| Mão toàn diện Vàng | 1 răng | Theo tỷ giá thị trường |
Nha khoa quốc tế Á Châu cam kết mang đến cho bạn một mức giá làm răng sứ rẻ nhất với chất lượng bọc răng sứ đạt chất lượng cao, đảm bảo thẩm mỹ và bền chắc nhất. Cùng với các chương trình tri ân khách hàng thường xuyên, bạn hoàn toàn có thể thực hiện bọc răng sứ chất lượng tốt nhất với mức chi phí hoàn toàn ưu đãi.
Chúng tôi cũng có chế độ bảo hành răng sứ dài lâu cho khách hàng. Nếu bạn gặp bất kỳ vấn đề nào liên quan đến răng sứ như ê nhức, nứt vỡ hay xỉn màu có thể liên hệ với Nha khoa Á Châu để các nha sỹ thăm khám và điều trị miễn phí.

Bọc răng sứ tốn hết bao nhiêu tiền tại nha khoa quốc tế Á Châu và ưu điểm của bọc sứ tại đây
Một điều làm nên sự khác biệt khi bọc răng sứ tại Nha khoa quốc tế Á Châu chính là chất lượng bọc sứ được đảm bảo tối đa. Tại nha khoa Á Châu, vật liệu sứ sử dụng trong dịch vụ bọc răng sứ thẩm mỹ cam kết xuất xứ của Đức và đạt tiêu chuẩn tốt nhất theo công nghệ CONBIME HT 5 chiều – công nghệ bọc răng sứ hàng đầu Hoa Kỳ hiện nay được Bệnh viện Răng hàm mặt Kang Nam trực tiếp chuyển giao với những ưu điểm nổi bật như:
– Kỹ thuật mài răng trước khi bọc sứ được thực hiện bởi các bác sỹ giàu kinh nghiệm diễn ra an toàn, không ê buốt.
– Công nghệ mới giúp lấy dấu răng hoàn toàn bằng máy quét tự động, ghi lại hình ảnh ở cả 5 mặt răng chính xác 100%, đảm bảo cho công đoạn chế tác răng sứ đều đẹp, chuẩn xác tới từng gờ rãnh.
– Công nghệ bọc răng sứ đảm bảo phục hình cho răng một cách thẩm mỹ nhất, không bị đục hay bị đen viền nướu, giúp ăn nhai hoàn toàn bình thường, không cộm cấn khó chịu.
– Rút ngắn thời gian phục hình một cách tối đa khi chỉ cần 2 lần thăm khám trong vòng 24h là có thể hoàn thành quy trình bọc sứ.
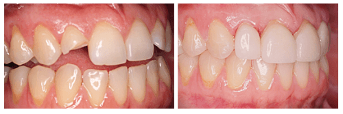
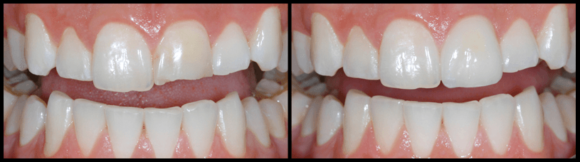
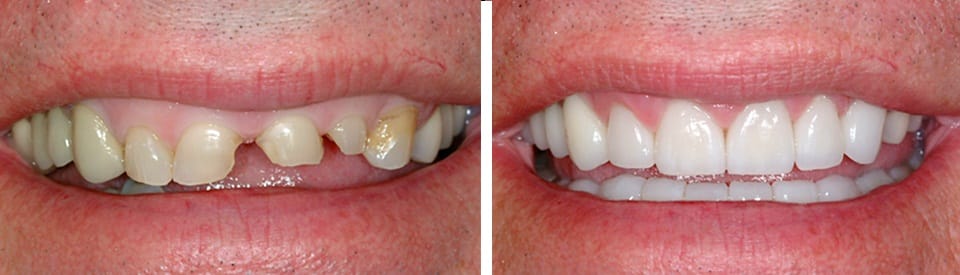
CÁC CA ĐIỂN HÌNH LÀM TẠI NHA KHOA QUỐC TẾ Á CHÂU CÔNG NGHỆ CONBIME HT 5D 2016





Hiệu quả của công nghệ CONBIME HT 5 chiều đã được chứng minh bằng những ca bọc sứ thực tế. Đã có hàng trăm khách hàng tiến hành bọc sứ thẩm mỹ cho răng tại Nha khoa quốc tế Á Châu và đều có những phản hồi hoàn toàn hài lòng về chất lượng. Chúng tôi luôn thực hiện với phương châm giá tốt nhưng vẫn đảm bảo hiệu quả cao nhất cho khách hàng.
Để được tư vấn cụ thể và chi tiết hơn về các dòng răng sứ không kim loại và Bọc răng sứ tốn hết bao nhiêu tiền của từng dòng áp dụng trong từng trường hợp điều trị, bạn có thể liên hệ với Nha khoa quốc tế Á Châu thông qua số điện thoại dưới đây để được bác sỹ giải đáp tận tình, giúp bạn có những lựa chọn đúng đắn nhất khi lựa chọn dịch vụ bọc răng sứ.
[box type=”info” align=”” class=”” width=””]NHA KHOA QUỐC TẾ Á CHÂU
Tư vấn & CSKH (24/7): 0987302621
Địa chỉ:: 95E Lý Nam Đế, Hoàn Kiếm, Hà Nộii
Tel: 043 9940951 *Mobile: 0912958635
Email: [email protected][/box]
