Răng thừa mọc giữa 2 răng cửa nên chỉnh bằng cách nào An Toàn?

4/5 - (1 bình chọn)
Câu hỏi: răng thừa mọc giữa 2 răng cửa phải làm sao?

[box type=”info” align=”” class=”” width=””]Chào bác sĩ nha khoa quốc tế Á Châu, Em năm nay 26 tuổi. Răng hàm trên của em bị tình trạng là có 1 răng thừa mọc giữa 2 răng cửa, nhìn rất mất thẩm mỹ. Trước đây em đã đi trám cái răng đó 2 lần. Lần gần đây nhất cách đây 1 năm, giờ nó có dấu hiệu rạn nứt vết trám. Xin bác sĩ tư vấn giúp e về việc chỉnh sửa cái răng đó. Về quy trình, thời gian và giá cả, em xin trân thành cảm ơn!(Lê Văn Thưởng – Hà Nội)[/box]

♦ Răng thừa mọc giữa 2 răng cửa xử lý ra sao?

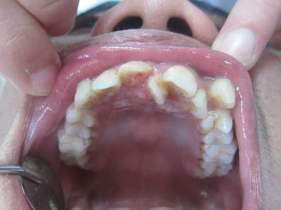
răng thừa mọc giữa 2 răng cửa
Răng thừa mọc giữa 2 răng cửa có thể thẩm mỹ bằng bọc răng sứ hay niềng răng cố định

Trả lời:

Chào Thưởng,
Rất cảm ơn em đã tin tưởng và chia sẻ băn khoăn với chúng tôi. Về thắc mắc răng thừa mọc giữa 2 răng cửa, Nha khoa quốc tế Á Châu xin được giải đáp cụ thể như sau:
Những trường hợp có răng thừa mọc giữa hai răng cửa như của em, chúng tôi gọi là răng dư. Phác đồ điều trị trong những trường hợp như của em thường mất khá nhiều thời gian và tương đối phức tạp. 
Răng dư là răng mọc thêm, ngoài những răng bình thường  và có thể được tìm thấy hầu như ở bất kỳ vị trí nào trên khung hàm. Tuy nhiên, hầu hết các răng dư đều được phát hiện ở răng cửa trước, hàm trên. Như trường hợp của em.
Nguyên nhân răng dư chưa được hiểu rõ hoàn toàn. Đang tồn tại nhiều lý thuyết khác nhau cho các loại răng dư khác nhau. Một lý thuyết cho rằng răng dư được tạo ra như là kết quả của sự phân đôi của mầm răng. Lý thuyết khác, được sử dụng nhiều trong các tài liệu y học, là lý thuyết hiếu động thái quá, thuyết này cho rằng răng dư được hình thành là kết quả của sự hiếu động thái quá cục bộ, độc lập, mạnh mẽ của tính di truyền ngà răng. Tính di truyền cũng có thể đóng một vai trò quan trọng trong sự xuất hiện bất thường này, như răng dư phổ biến hơn ở những trẻ em có người thân bị ảnh hưởng so với dân số chung.
 Răng dư hay răng thừa mọc giữa 2 răng cửa không gây bất kỳ biến chứng hay tiềm ẩn nguy cơ nào đối với sức khỏe răng miệng. Tuy nhiên, nó lại ảnh hưởng rất nhiều đến vẻ thẩm mỹ của hàm răng.
Điều trị thẩm mỹ cho hàm răng có răng dư, thời gian điều trị sẽ khá dài với phác đồ 3 giai đoạn:nhổ răng – chỉnh nha – và làm răng sứ. 
– Giai đoạn 1: nhổ răng. Thời gian nhổ răng khoảng 30 phút, hoàn toàn không đau. Ngay sau khi nhổ răng có thể bắt đầu điều trị chỉnh nha. Hoặc, nếu bệnh nhân có thời gian thì nên để 1 tuần sau khi nhổ răng để vết thương lành rồi bắt đầu chỉnh nha, sẽ đỡ gây khó chịu hơn cho bệnh nhân. 
– Giai đoạn 2: chỉnh nha. Những răng thưa sẽ được tính toán để làm khít lại một cách hợp lý, khoa học và thẩm mỹ nhất. 
– Giai đoạn 3: Trồng thêm răng mới vào những khoảng hở (đã được dự đoán). Thực chất là phương pháp chỉnh nha đã đưa những khoảng hở ban đầu về những vị trí khác (lùi ra sau) để phương pháp trồng răng sứ sau đó đảm bảo được độ thẩm mỹ một cách tối ưu.
Nếu khoảng hở ít thì sẽ được bọc mão sứ cho 4 đơn vị răng cửa.
Nếu khoảng hở nhiều thì sẽ được làm cầu 6 đơn vị răng sứ với trụ là 4 đơn vị răng cửa. 

Thời gian điều trị: 
+ Từ 1 đến 3 tháng cho giai đoạn chỉnh nha
+ 1 tuần cho giai đoạn làm răng sứ. 

Chi phí điều trị: 
+ Chi phí chỉnh nha: từ 5 đến 10 triệu đồng.
+ Chi phí làm răng sứ: 

4-CH-N~1
răng thừa mọc giữa 2 răng cửa có thể bọc sứ thẩm mỹ

Răng sứ hiện nay có nhiều loại, mỗi loại sẽ có vẻ thẩm mỹ (tối ưu), độ bền sử dụng và chi phí khác nhau. Hiện tại, Nha khoa quốc tế Á Châu đang điều trị 4 loại răng sứ:

 
1. Răng sứ Kim loại: độ bền sử dụng khoảng trên dưới 5 năm. Sau khoảng thời gian này, răng sứ kim loại sẽ bị đen phần nướu răng, gây mất thẩm mỹ và phải làm lại. Chi phí: 1.500.000 đ/ 1 đơn vị răng.

2. Răng sứ Titan: độ bền sử dụng khoảng trên dưới 15 năm. Chi phí: 1.800.000đ/1 đơn vị răng. 
3. Răng toàn sứ không kim loại: Có tính thẩm mỹ rất cao, tương hợp gần như hoàn toàn với mô nướu răng nên điều trị bằng răng toàn sứ có tính chất bền vững lâu dài gần như răng thật.

– Răng sứ Cercon: chi phí 4.500.000 đ/1 đơn vị răng. 

– Răng sứ Zirconia HT (công nghệ CAD/CAM – làm răng sứ  với công nghệ tự động ) chi phí 5.500.000 đ / 1 đơn vị răng.

Điều trị theo phương pháp này,  răng cần điều trị sẽ được mài nhỏ đi. Thường là mài đi hết lớp men răng. Sau đó, mão răng sứ sẽ được thực hiện để thay thế lớp men răng đó. Mão răng sứ sẽ giúp hồi phục hoàn toàn cả về chức năng thẩm mỹ cũng như chức năng ăn nhai.

Răng sứ sau khi được thực hiện phải đảm bảo giống như răng thật cả về chức năng và thẩm mỹ, trong đó yếu tố chức năng ăn nhai được bác sĩ đặt lên hàng đầu. Cụ thể là răng sứ sau khi làm xong phải ăn nhai được như răng thật, có cảm giác thoải mái hoàn toàn như răng thật, không bị cấn cộm hay khó chịu sau khi điều trị.
Về thời gian điều trị răng sứ: từ 2 ngày đến 3 ngày điều trị liên tục
Làm răng sứ, đúng quy trình kỹ thuật là mất 2 ngày điều trị liên tục, mỗi ngày điều trị khoảng 1 tiếng. Tuy nhiên, làm răng sứ thẩm mỹ cho nhóm răng cửa trước thì yêu cầu thời gian nhiều hơn.
Trong suốt thời gian điều trị này, em sẽ được gắn răng tạm để vẫn có thể sinh hoạt, giao tiếp và làm việc bình thường. Chỉ có ăn uống là hơi khó chịu một chút.

Em hãy qua trực tiếp phòng khám, chúng tôi sẽ khám và tư vấn cho em cụ thể, chính xác hơn răng thừa mọc giữa 2 răng cửa. Khám và tư vấn hoàn toàn miễn phí. Chúc em sớm có một hàm răng đều đẹp với chất lượng sức khỏe răng miệng thật tốt!

[box type=”info” align=”” class=”” width=””]NHA KHOA QUC T Á CHÂU

Tư vn & CSKH (24/7): 0987302621

Đa ch:: 95E Lý Nam Đế, Hoàn Kiếm, Hà Nội

Tel: 0243 9940951 *Mobile: 0912958635

Email: [email protected][/box]