Bọc răng sứ ở đâu tốt và uy tín nhất Hà Nội
[box type=”info” align=”” class=”” width=””]Bạn đang ở Hà Nội hay các tỉnh lân cận muốn...
Nhổ răng khôn không đau nhờ công nghệ mới Piezotome
[box type=”info” align=”” class=”” width=””]Nhổ răng khôn được áp dụng trong các trường hợp răng...
Răng toàn sứ giá bao nhiêu tiền là hợp lý nhất?
[box type=”info” align=”” class=”” width=””]Lựa chọn bọc răng toàn sứ là một quyết định đúng...
Niềng răng giá bao nhiêu là chuẩn nhất?
[box type=”info” align=”” class=”” width=””]Bạn có biết giá niềng răng được quyết định phần lớn...
Nhổ răng số 8 ở đâu tốt và uy tín nhất tại Hà Nội
[box type=”info” align=”” class=”” width=””]Việc lựa chọn một địa chỉ nhổ răng số 8 ở...
Bọc răng sứ Titan thẩm mỹ hơn răng thật Gấp 3 Lần
[box type=”info” align=”” class=”” width=””]Bọc răng sứ titan được sử dụng rộng rãi trong lĩnh...
Cách chữa đau nhức răng hiệu quả – Nói không với thuốc Tây
[box type=”info” align=”” class=”” width=””]Nếu bạn đang bị hành hạ bởi cảm giác đau nhức...
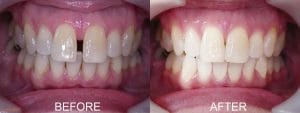
Cách chữa răng thưa tại nhà HIỆU QUẢ AN TOÀN cho bạn
[box type=”info” align=”” class=”” width=””]Răng thưa không phải bệnh lý răng nguy hiểm hay gây...
Có nên nhổ răng khôn ở phòng khám tư hay không?
[box type=”info” align=”” class=”” width=””]Một người trưởng thành phải thông qua một tiến trình lâu...
Làm thế nào để răng hết thưa hiệu quả nhanh nhất ?
[box type=”info” align=”” class=”” width=””]Với các mức độ và đặc điểm răng thưa khác nhau...
RĂNG MỌC LỆCH LẠC CÓ NIỀNG RĂNG ĐƯỢC KHÔNG?
[box type=”info” align=”” class=”” width=””]Răng mọc lệch có niềng răng được không? Răng bị lệch...
Bọc răng sứ như thế nào và những lợi ích của việc chụp răng sứ
[box type=”info” align=”” class=”” width=””]Bọc răng sứ như thế nào? Đó là phương pháp phục...
