5 cách trị viêm nướu răng tại nhà nhanh nhất
Viêm nướu răng không chỉ gây ảnh hưởng sức khỏe răng miệng mà còn làm...
Trồng răng giả ở đâu tốt nhất Hà Nội
Bạn không biết nên đi trồng răng giả ở đâu tốt khi mà xã hội...
Bọc răng sứ trả góp áp dụng tại Hà Nội (Lãi suất 0%)
[box type=”info” align=”” class=”” width=””]Bạn muốn đi bọc răng sứ khắc phục hàm răng xấu...
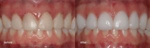
Bọc răng sứ cho răng xỉn màu nặng hay là tẩy trắng?
Không phải trường hợp nào cũng có thể áp dụng phương pháp tẩy trắng để...
Tìm hiểu phương pháp phục hình cầu răng
Cầu răng là một trong những phương pháp trồng trăng truyền thống được chọn phổ...
Răng khôn có mấy chiếc?
Răng khôn có mấy cái? Đối với ai không có răng khôn sẽ nghĩ mình...
Máng tẩy trắng răng tại nhà ưu nhược điểm
Có rất nhiều bộ dụng cụ có sẵn để sử dụng để thẩm mỹ trắng răng...
Niềng răng có đau không?
Dù kỹ thuật niềng răng đã trở thành một phương pháp chỉnh nha phổ biến...
Trồng răng sứ loại nào tốt cho từng lứa tuổi
Trồng răng là phương pháp phục hồi răng cả về hình thể cũng như khả năng...
Niềng răng mắc cài 3M UGLS khắc phục sai lệch khớp cắn
Có khá nhiều người thường có cảm giác mặc cảm và tự ti về hàm...
Quy trình diệt tủy răng như thế nào là đảm bảo an toàn?
Lấy tủy răng là trường hợp bất đắc dĩ phải sử dụng đến khi tủy...
Răng khôn là răng thứ mấy?
Tên gọi “răng khôn” đã khá quen thuộc với chúng ta nhưng không phải ai...
