Độ bền của các loại răng sứ thẩm mỹ như thế nào
ĐIỀU GÌ ẢNH HƯỞNG ĐẾN ĐỘ BỀN CỦA RĂNG SỨ THẨM MỸ ? Độ bền...
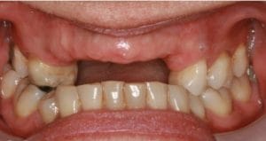
Bọc răng sứ cho răng cửa ở đâu tốt nhất Hà Nội?
[box type=”info” align=”” class=”” width=””]Theo nha khoa hiện đại, ở hầu hết các vị trí...
Giá thành của 1 chiếc răng sứ là bao nhiêu tiền?
Giải đáp thắc mắc khách hàng về giá thành của 1 chiếc răng sứ Chào...
Trồng răng cửa có đau không và có ảnh hưởng gì?
Một nụ cười đẹp, thân thiện sẽ giúp bạn tạo được ấn tượng tốt với...
Làm gì để kéo dài tuổi thọ của răng sứ Cercon sau phục hình
Như mọi người đã biết, răng toàn sứ Cercon là dòng răng sứ thế hệ...
Răng mọc nhô ra ngoài phải làm sao khắc phục cho đẹp
Răng vẩu không phải lúc nào niềng răng cũng là cách điều trị hiệu quả...
Nên bọc răng sứ Katana cho trường hợp nào?
Nên bọc răng sứ Katana cho trường hợp nào là băn khoăn của không ít...
Tuổi thọ răng sứ Titan kéo dài trong bao lâu?
Làm sao để biết tuổi thọ của răng sứ Titan kéo dài trong bao lâu...
Răng sứ cao cấp chính hãng từ Đức – Bảo hành 10 năm tại nha khoa Á Châu
[box type=”info” align=”” class=”” width=””]Bạn đang muốn làm răng sứ cao cấp chính hãng và...
Phục hồi răng cửa bị mẻ bằng hàn trám hay bọc sứ
[box type=”info” align=”” class=”” width=””]Phục hồi răng cửa bị mẻ có thể sử dụng bằng...
Quy trình tẩy trắng răng tại nhà với máng tẩy trắng
[box type=”info” align=”” class=”” width=””]Máng tẩy trắng răng là một trong những phương pháp làm...
LƯU Ý khi dùng máng tẩy trắng răng để an toàn và hiệu quả!
Máng tẩy trắng răng cũng có tác dụng hiệu quả trong việc tẩy trắng răng,...
