Có nên mài răng cho đều không ?
Câu hỏi: Có nên mài răng cho đều không ? Chào bác sỹ Nha Khoa Quốc...
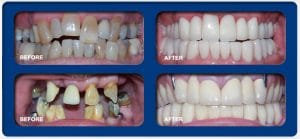
Kinh nghiệm làm răng giả hữu ích không thể bỏ qua
Muốn có được những chiếc răng giả đẹp và vừa ý, bạn nên tích lũy...
Làm răng sứ có cần mài cùi răng đẹp?
Câu hỏi: Làm răng sứ có cần mài cùi răng đẹp? Chào bác sỹ Nha Khoa...
Phương pháp mài cùi răng áp dụng trong trường hợp nào?
Mài cùi răng là một trong những thủ thuật được áp dụng khá phổ biến...
Chỉ định sử dụng răng giả bằng sứ loại nào là tốt nhất?
Câu hỏi: Chỉ định sử dụng răng giả bằng sứ loại nào là tốt nhất? Chào...
Chia sẻ các cách giảm ê buốt răng tức thì
Không ít người đang phải tìm cách đối phó với cơn ê buốt răng phiền...
Cách chăm sóc sau khi làm hàm răng giả
Khi buộc phải làm hàm răng giả, bạn gần như phải chấp nhận một số...
Nên làm gì sau khi nhổ răng khôn để đỡ đau
Răng khôn là chiếc răng mọc sau cùng (mọc vào khoảng từ 18 đến 25...
Nên trồng răng hàm giả cố định hay tháo lắp?
Câu hỏi: Nên trồng răng hàm giả cố định hay tháo lắp? Chào bác sỹ Á...
Các loại răng giả được ưa chuộng nhất hiện nay
Sự phát triển của công nghệ nha khoa hiện đại đã cho ra đời nhiều...
Các bước chăm sóc răng giả không thể bỏ qua
Để duy trì những chiếc răng sứ được bền bỉ về màu sắc cũng như...
Răng tháo lắp toàn hàm loại nào tốt nhất?
Răng tháo lắp toàn hàm là răng giả dùng cho toàn bộ nền hàm. Đây...
